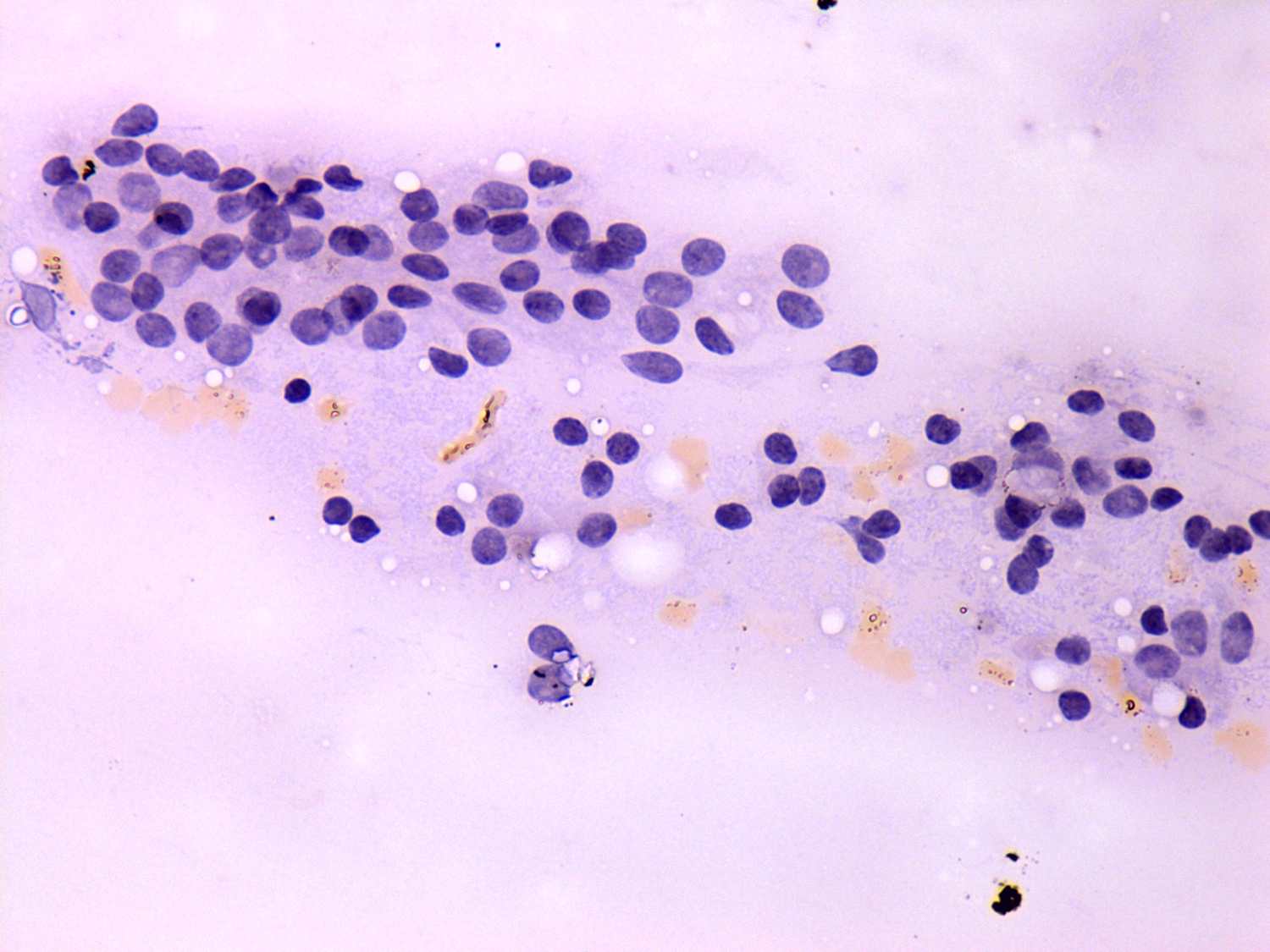
Benign nodular hyperplasia - Case 22. (cytologic picture 3)
|
|
|
|
|
Pap-smear, 400x. Note colloid. Follicular cells in micro- and normofollicles. Dissociated pycnotic nuclei are also found.

