Benign nodular hyperplasia - Case 22. |
|
Clinical presentation: a 38-year-old woman was referred for an evaluation of a nodule detected on a physical examination.
Palpation: a firm nodule in the right lobe.
Functional state: euthyroidism (TSH 0.75 mIU/L).
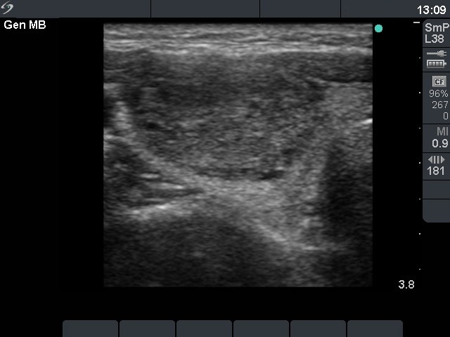
Ultrasonography: the thyroids were echonormal. There was a moderately hypoechogenic nodule displaying both perinodular and intranodular blood flow.
Cytology: resulted in benign colloid goiter with follicular proliferation.
The nodule later increased in size further and two years after the initial examination the patient underwent surgery.
Histopathology: benign, hyperplastic nodular goiter.








