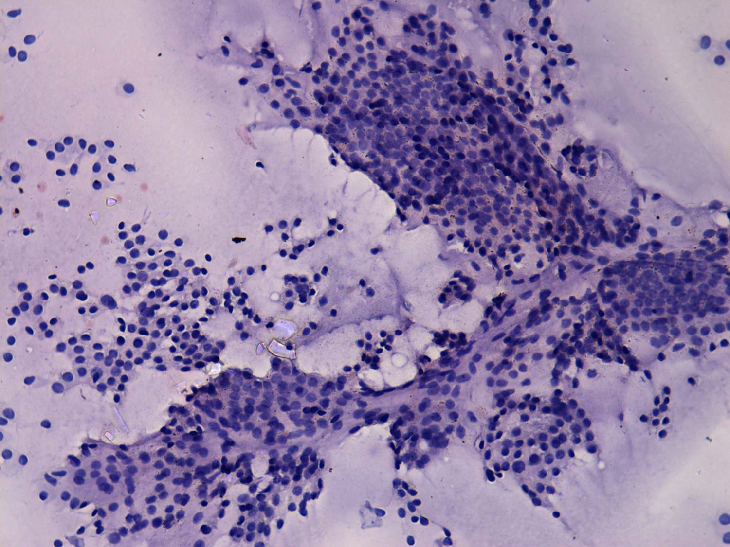
Lymph nodes in the neck - Case 3. (cytologic picture 2 of the thyroid)
Benign, bacterially infected lymph node
|
|
|
|
|
Pap-smear, 200x. Note peripheral vacuolization at the edge of the papillary cluster.

