Menu
Case histories
Lectures
Lymph nodes in the neck
List of cases
Videorecords
Pitfalls
Course book
Course on US
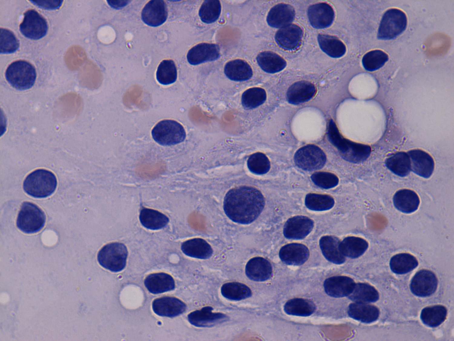
Lymph nodes in the neck - Case 3. (cytologic picture 5 of the
thyroid
)
Benign, bacterially infected lymph node
Pap-smear, 1000x. There is no significant atypia.