Papillary carcinoma - Case 40. (cytologic picture 3)
|
|
|
|
|
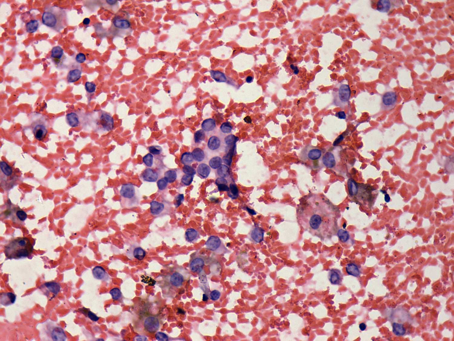
Pap-smear, 400x. Follicular cells display degenerative changes therefore the presence of inclusions has only limited significance.

