Menu
Case histories
Lectures
Papillary cancer
List of cases
Videorecords
Pitfalls
Course book
Course on US
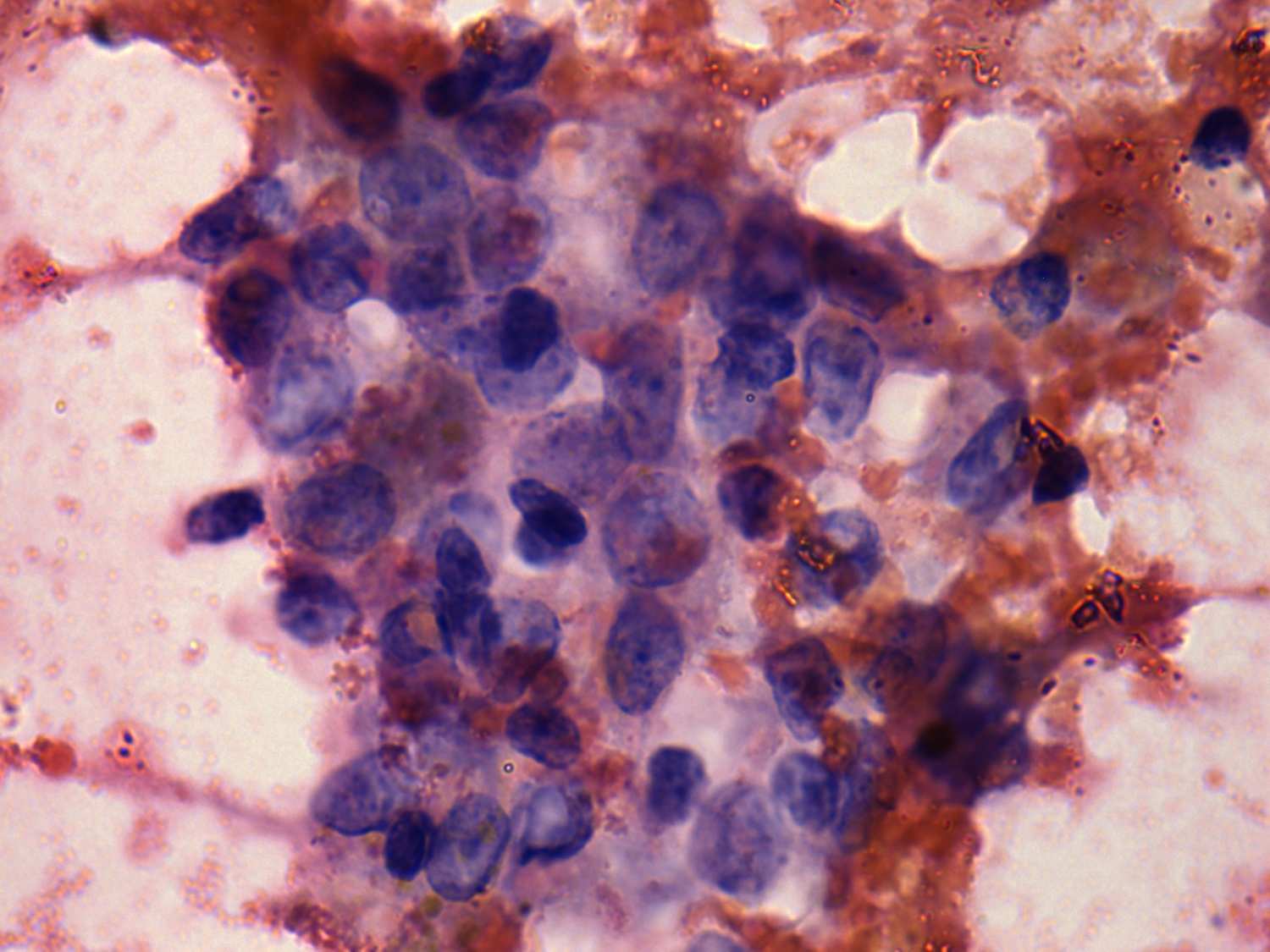
Papillary carcinoma - Case 40. (cytologic picture 7)
Pap-smear, 1000x. An atypical cell group with nuclear crowding.