Menu
Case histories
Lectures
Papillary cancer
List of cases
Videorecords
Pitfalls
Course book
Course on US
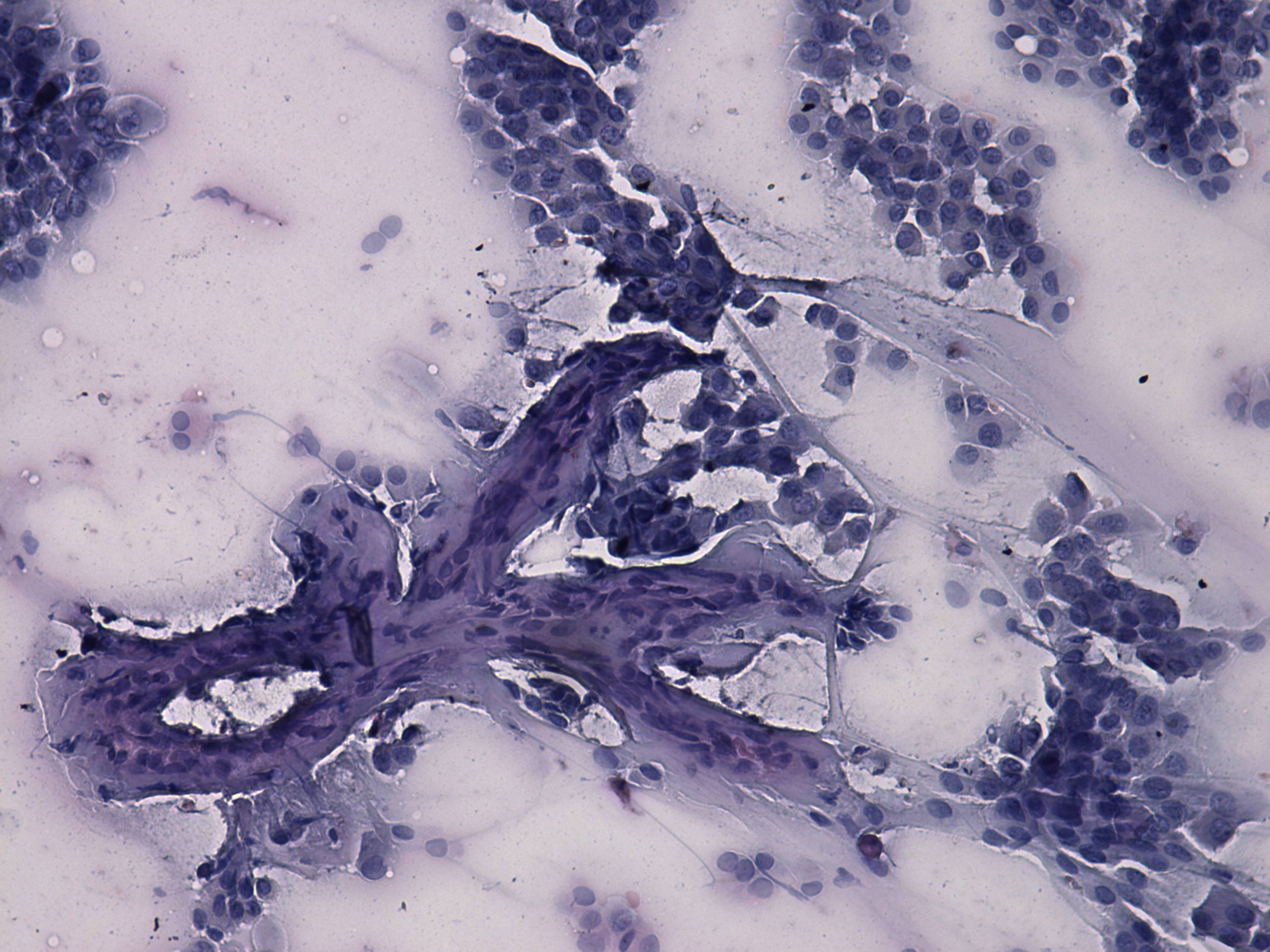
Papillary carcinoma - Case 63. (cytologic picture 2)
Pap-smear, 200x. A typical fibrovascular core of a papillary fragment.