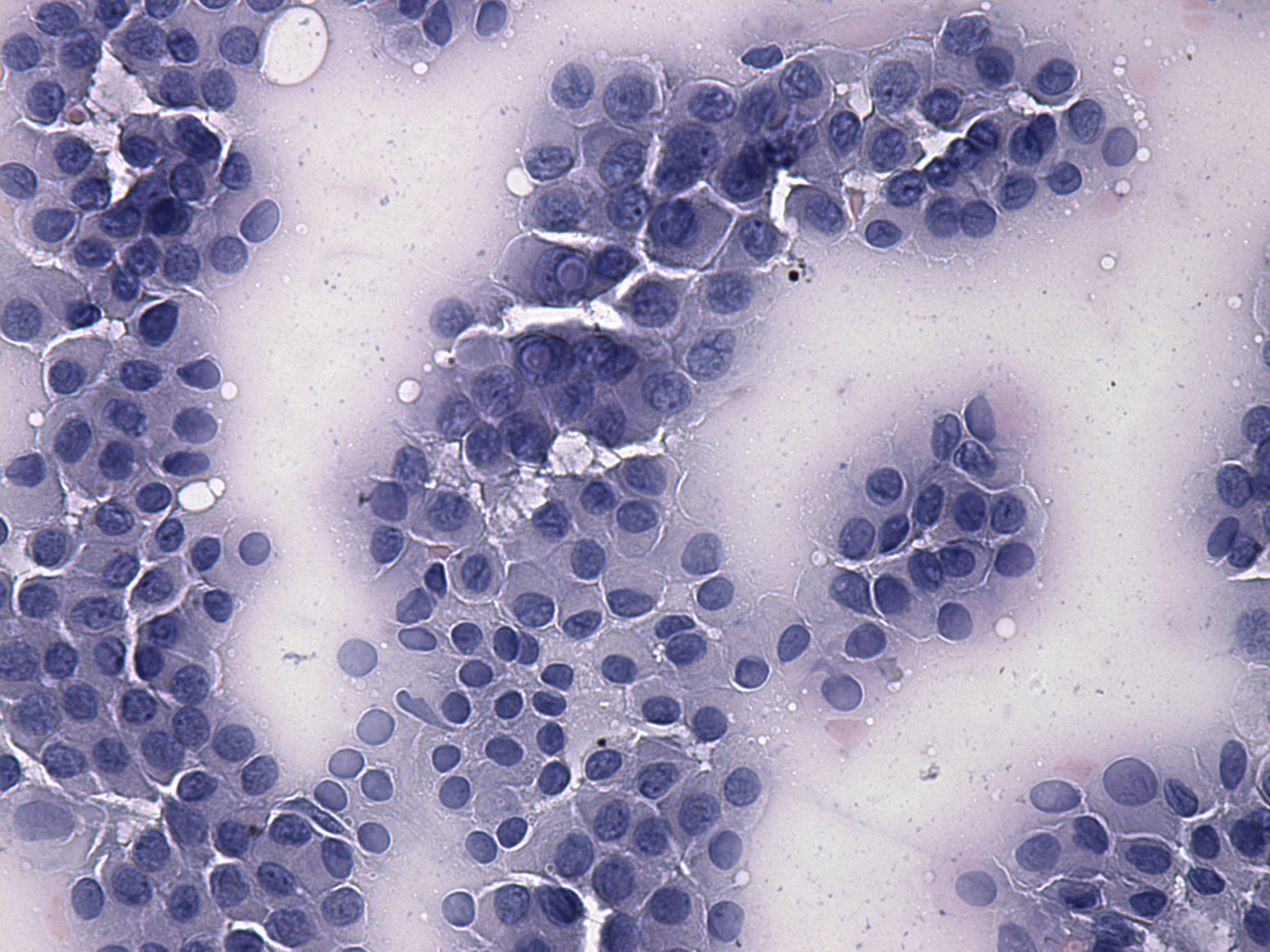
Pap-smear, 400x. Follicular cells have abundant cytoplasm. Note the presence of grooves and typical inclusions.