Papillary carcinoma - Case 4. |
|
Clinical data: A 79-year-old woman was referred for evaluation of a nodular goiter. Both thyroid lobes were gradually increasing in the last 3 years and were causing difficulties in swallowing.
Palpation: an enlarged multinodular goiter with a moderately firm nodule in the upper part of the right lobe, an elastic nodule in the lower part of the right lobe. The left thyroid was hard and nodular on palpation.
Functional state: euthyroidism (TSH-level 2.38 mIU/L, FT4 17.0 pM/L).
Ultrasonography: The thyroid was echonormal and contained multiple nodules. The right lobe was composed of an echonormal and a cystic nodule. A large moderately hypoechogenic nodule occupied almost the entire left lobe. It had irregular borders, was lobulated and displayed microcalcifications and an intranodular vascularity. There were multiple enlarged lymph nodes in the left side of the neck.
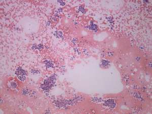
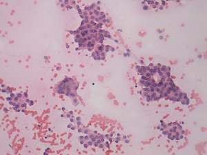
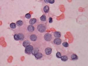
Cytological diagnosis: papillary cancer was diagnosed in the nodule in the left lobe and a metastasis of the thyroid cancer in one of the enlarged lymph nodes.
Histopathology: papillary cancer in the the left and right nodule with metastasis to the lymph nodes in the left side of neck.
Comment: The identical twin-sister of the patient was evaluated two years earlier. There is a startling resemblance between these two cases, including not only the final diagnosis, but also the presentation and location of the nodules. See Case 30 of papillary carcinomas.










