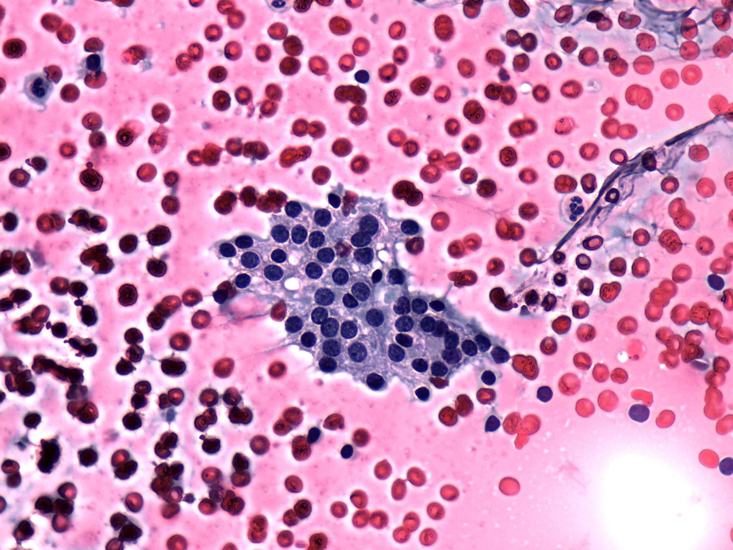
Benign nodular hyperplasia - Case 43. (cytologic picture 4)
|
|
|
|
|
Pap-smear, 400x. Follicular cells exhibit mild anisonucleosis, but there isn't any significant atypia. Note the lack of prominent nucleoli.

