Benign nodular hyperplasia - Case 43. |
|
Clinical presentation: a 26-year-old woman was presented with a newly discovered nodule.
Palpation: a nodule in the right side of the isthmus.
Functional state: euthyroidism with TSH-level of 1.56 mIU/L.
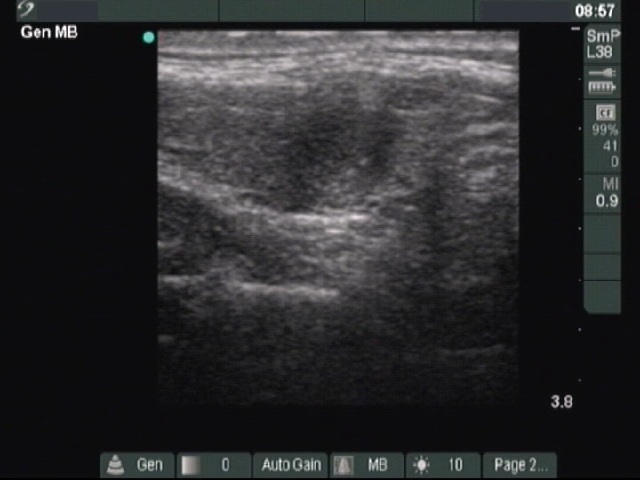
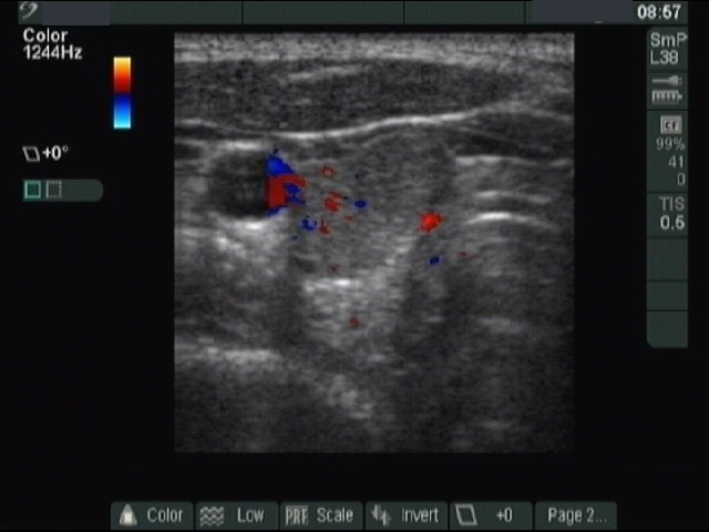
Ultrasonography: a moderately hypoechogenic nodule in the isthmus. The nodule exhibited microcalcifications. The vascularization was not specific. Neither a halo sign nor perinodular blood flow was observed.
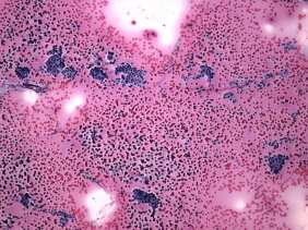
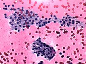
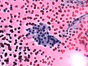
Cytological picture: diffuse colloid precipitate. Thyrocytes in regular clusters composed of micro- and normofollicles. Follicular cells did not exhibit any significant atypia.
Cytological diagnosis: a benign follicular proliferation.









