Lymph nodes in the neck - Case 2.Metastasis of an anaplastic adenocarcinoma of the lung |
|
Clinical data: a 58-year-old man was evaluated because of multiple enlarged lymph nodes which were discovered for 2 months. Primary tumor focus was searched for.
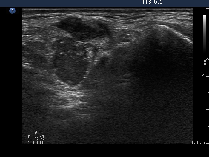
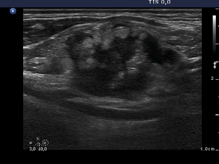
Palpation: no abnormality in the thyroid. There were multiple, not moveable, hard nodes in both supraclavicular regions.
Ultrasonography: the thyroid was intact. There were multiple nodes in both supraclavicular regions. The nodes presented an absolutely irregular shape and border. They contained numerous hyperechogenic circumscribed areas.
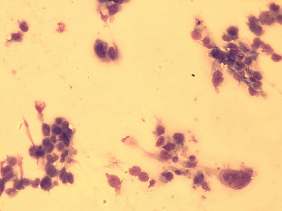
Cytology was performed from the masses and resulted in anaplastic adenocarcinoma of unknown origin.
Further evaluation of the patient revealed a mass in the lower right lobe of the lung . Percutaneous lung biopsy disclosed anaplastic adenocarcinoma of the lung.
Comment.
The evaluation of a patient with a suspected metastatic lymph node depends among others on economic conditions, too. The cost of an aspiration cytology is only 6% of a PET-CT scan in our country. Thyroid tumor, malignant melanoma, colon carcinoma, small cell cancer of the lung, breast cancer are those tumors which may present not infrequently a pathognomic cytological pattern even in their metastasis. We can make a clear distinction between a carcinoma and a malignant lymphoma in most cases. Therefore aspiration cytology can be the first diagnostic step in the evaluation of a metastatic lymph node of unknown origin.















