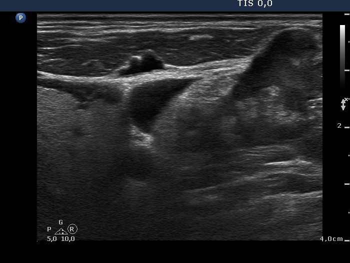
Lymph nodes in the neck - Case 2. (ultrasonographic picture 8)
Metastasis of an anaplastic adenocarcinoma of the lung
|
|
|
|
Left lobe and left supraclavicular region, horizontal scan. The intact left thyroid (left in the image) and a metastatic lymph node in the supraclavicular region (right in the image) in a common field of vision.
