Benign nodular hyperplasia - Case 32. |
|
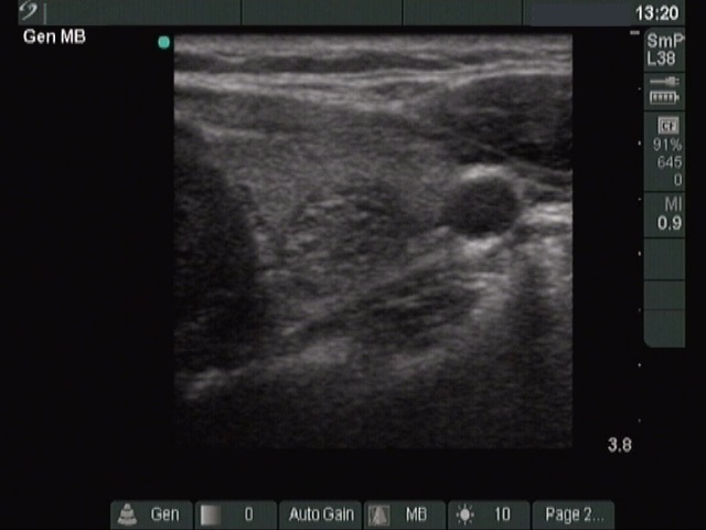
Clinical presentation: a 67-year-old woman detected a nodule in her thyroid 4 weeks earlier.
Functional state: euthyroidism (TSH 0.69 mIU/L, FT4 16.9 pM/L).
Ultrasonography: a moderately hypoechogenic nodule in the right lobe.
Cytology: resulted in a benign colloid goiter.
The nodule later increased in size and one year after the first examination the patient underwent surgery.
Histopathology: benign, dominantly normofollicular adenoma with degenerative changes.










