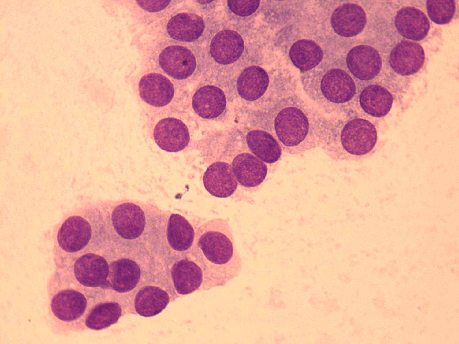
Benign nodular hyperplasia - Case 55. (cytologic picture 7)
|
|
|
|
Wright-Giemsa staining, 1000x. This is a monomorphous pattern which is relatively unusual in hyperplastic nodules. It may be debated whether these cells would be oxyphilic cells or would not. The cytoplasm of the cells demonstrated in this case have abundant cytoplasm but lack the finely granular cytoplasmic granulations. The presence of the latter would be a characteristic sign of Hürthle-cells.

