Menu
Case histories
Lectures
Benign nodular hyperplasia
List of cases
Videorecords
Pitfalls
Course book
Course on US
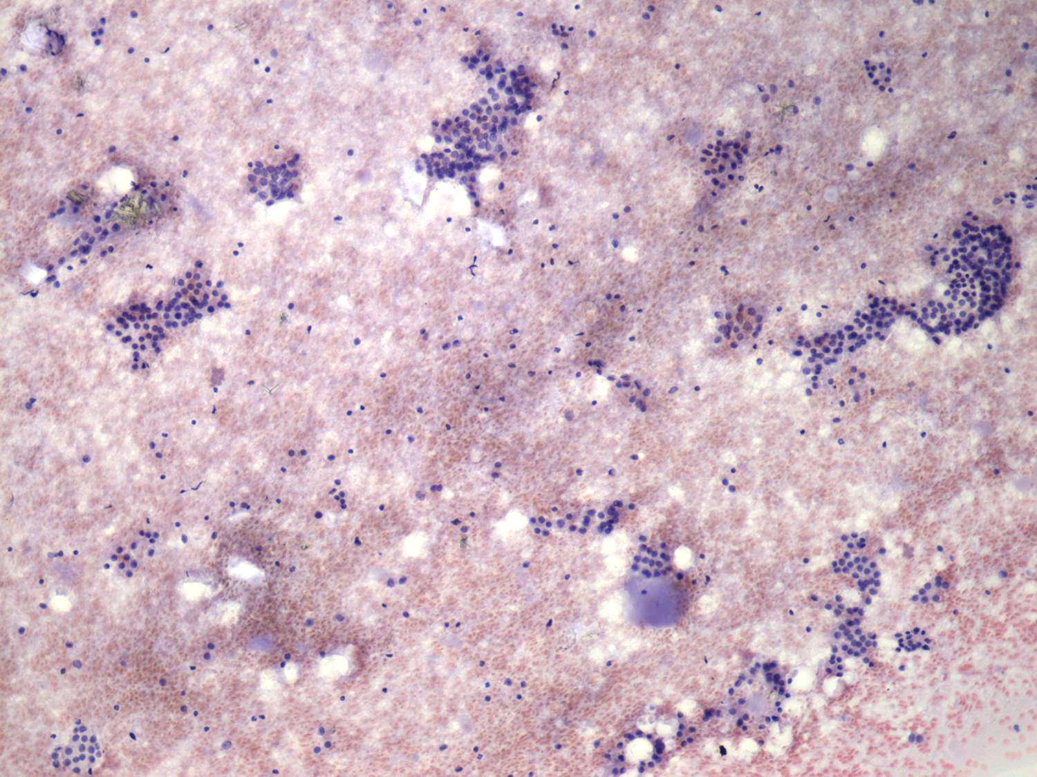
Benign nodular hyperplasia - Case 12. (cytologic picture 1)
Pap-smear, 100x. There is no colloid in the background. Monolayered sheets predominate the smear.