Menu
Case histories
Lectures
Papillary cancer
List of cases
Videorecords
Pitfalls
Course book
Course on US
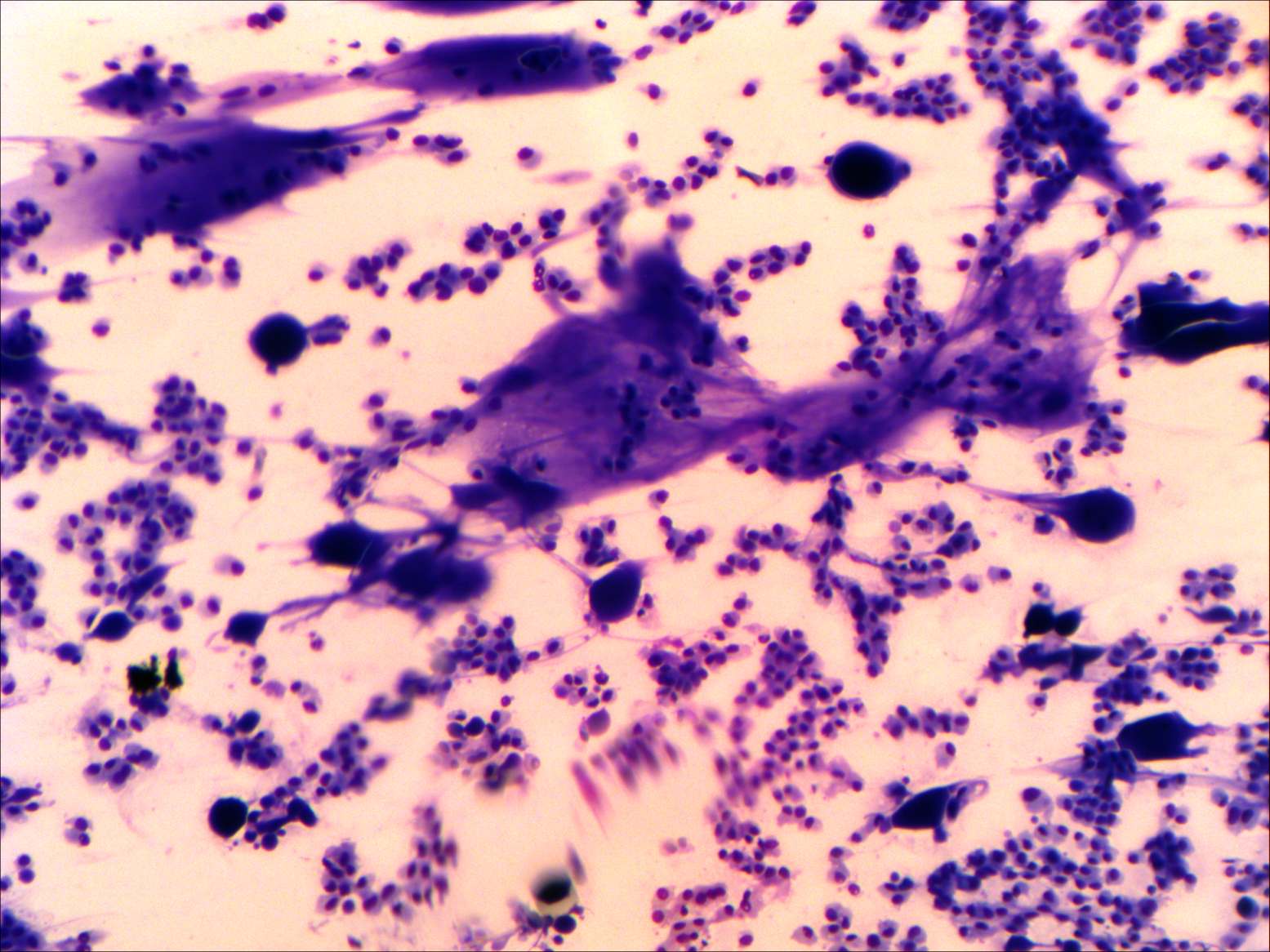
Papillary carcinoma - Case 23. (cytologic picture 2)
Wright-Giemsa-staining, 200x. Loose clusters of follicular cells.