Papillary carcinoma - Case 23. |
|
Clinical presentation: a 21-year-old man was referred for an evaluation of a thyroid nodule evolved over 6 months.
Palpation: a large firm nodule in the left thyroid.
Functional state: euthyroidism (TSH-level 2.71 mIU/L, FT4 16.2 pM/L).
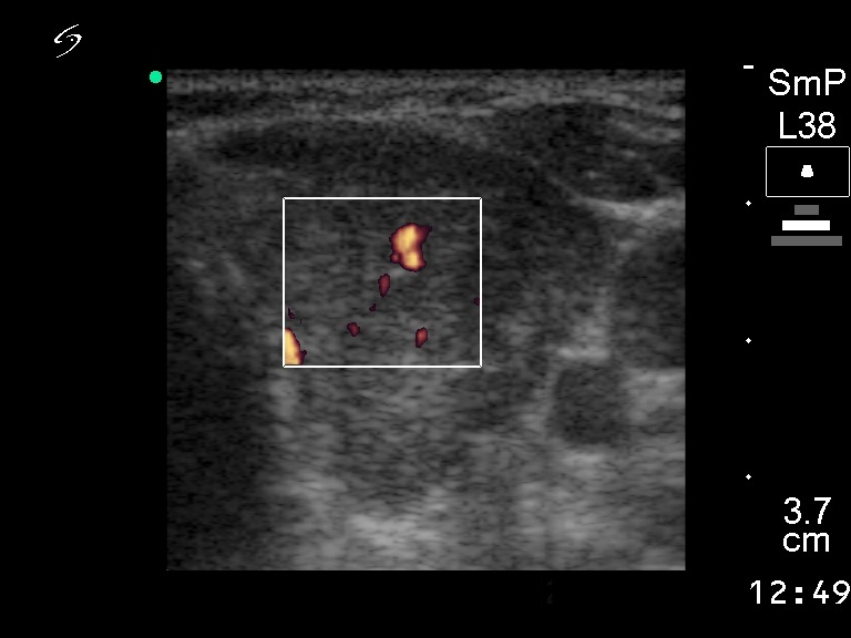
Ultrasonography: there was a hypoechogenic nodule in the left lobe. The nodule displayed coarse calcification and a type 3 vascular pattern.
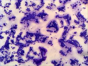
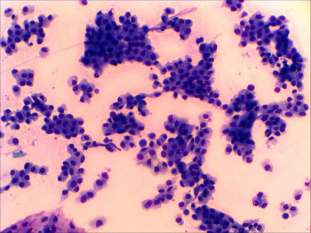
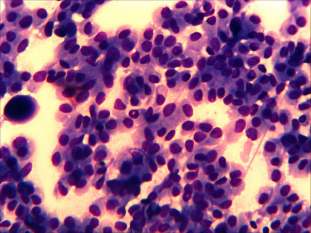
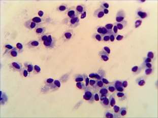
Cytological diagnosis: suspicion of papillary cancer.
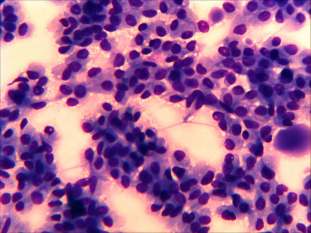
Histopathology: papillary cancer.








