Papillary carcinoma - Case 24. |
|
Clinical presentation: a 43-year-old woman was referred for an evaluation of complaints suggesting hypothyroidism.
Palpation: a firm nodule in the right thyroid.
Functional state: euthyroidism (TSH-level 0.68 mIU/L).
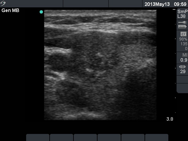
Ultrasonography: there was a hypoechogenic nodule in the right lobe. The nodule displayed hyperechogenic granules and a type 3 vascular pattern.
Cytological diagnosis: papillary cancer.
Histopathology: papillary cancer.








