Menu
Case histories
Lectures
Papillary cancer
List of cases
Videorecords
Pitfalls
Course book
Course on US
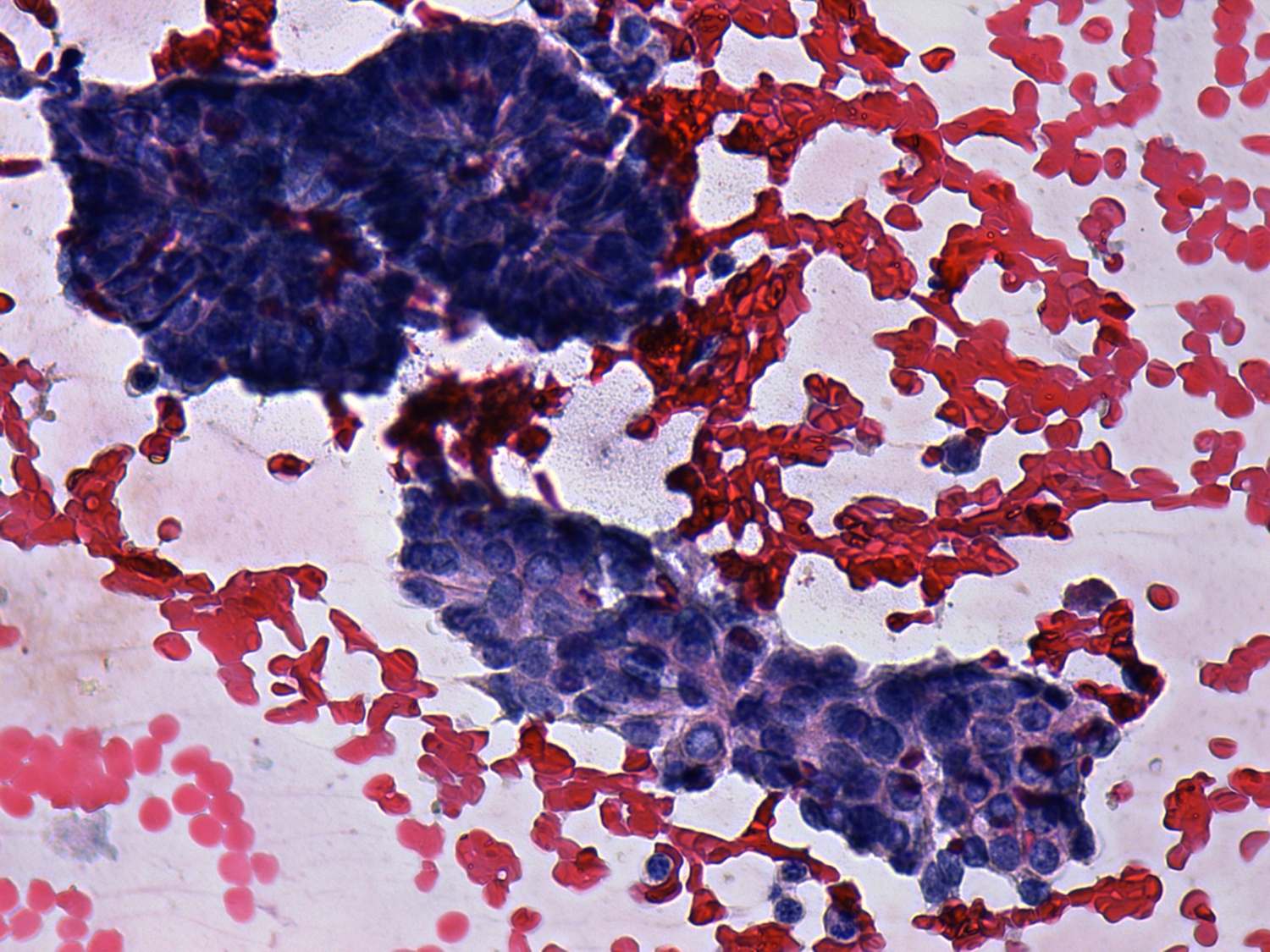
Papillary carcinoma - Case 24. (cytologic picture 3)
Pap-smear, 400x. Two atypical clusters with nuclear crowding and overlapping. Note an inclusion.