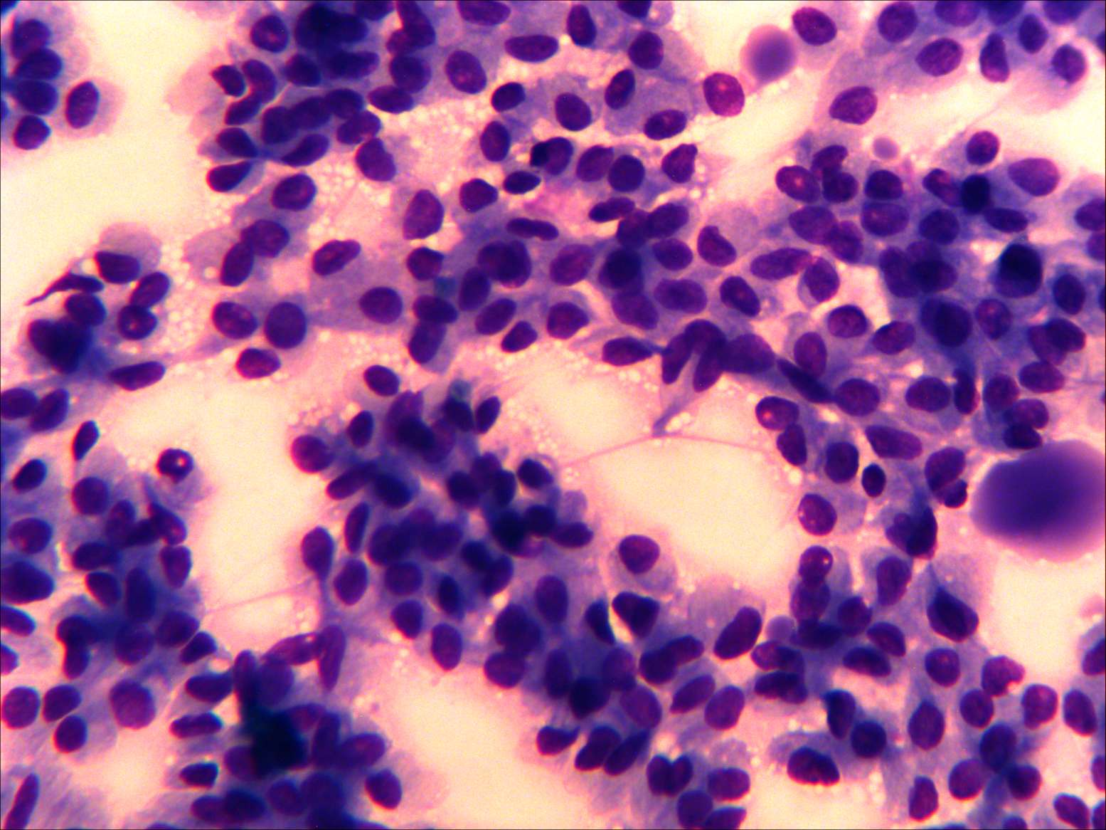
Wright-Giemsa-staining, 630x. Irregular clusters with nuclear crowding and loss of polarity of cells.