Menu
Case histories
Lectures
Papillary cancer
List of cases
Videorecords
Pitfalls
Course book
Course on US
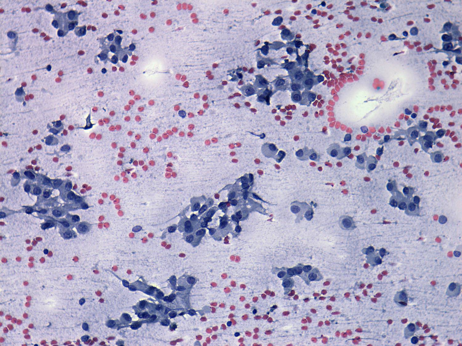
Papillary carcinoma - Case 26. (cytologic picture 3)
Pap-smear, 200x. Oxyphilic cell groups.