Menu
Case histories
Lectures
Papillary cancer
List of cases
Videorecords
Pitfalls
Course book
Course on US
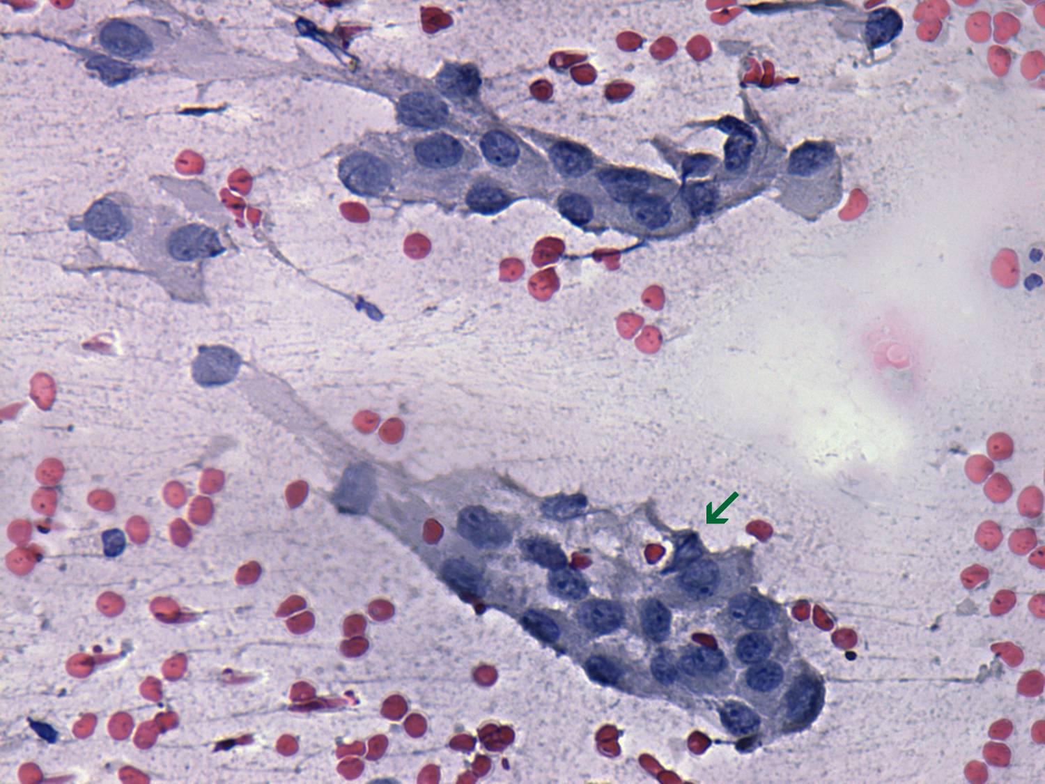
Papillary carcinoma - Case 26. (cytologic picture 4)
Pap-smear, 400x. Oxyphilic cell groups. Note the presence of a groove marked with green arrow.