Menu
Case histories
Lectures
Papillary cancer
List of cases
Videorecords
Pitfalls
Course book
Course on US
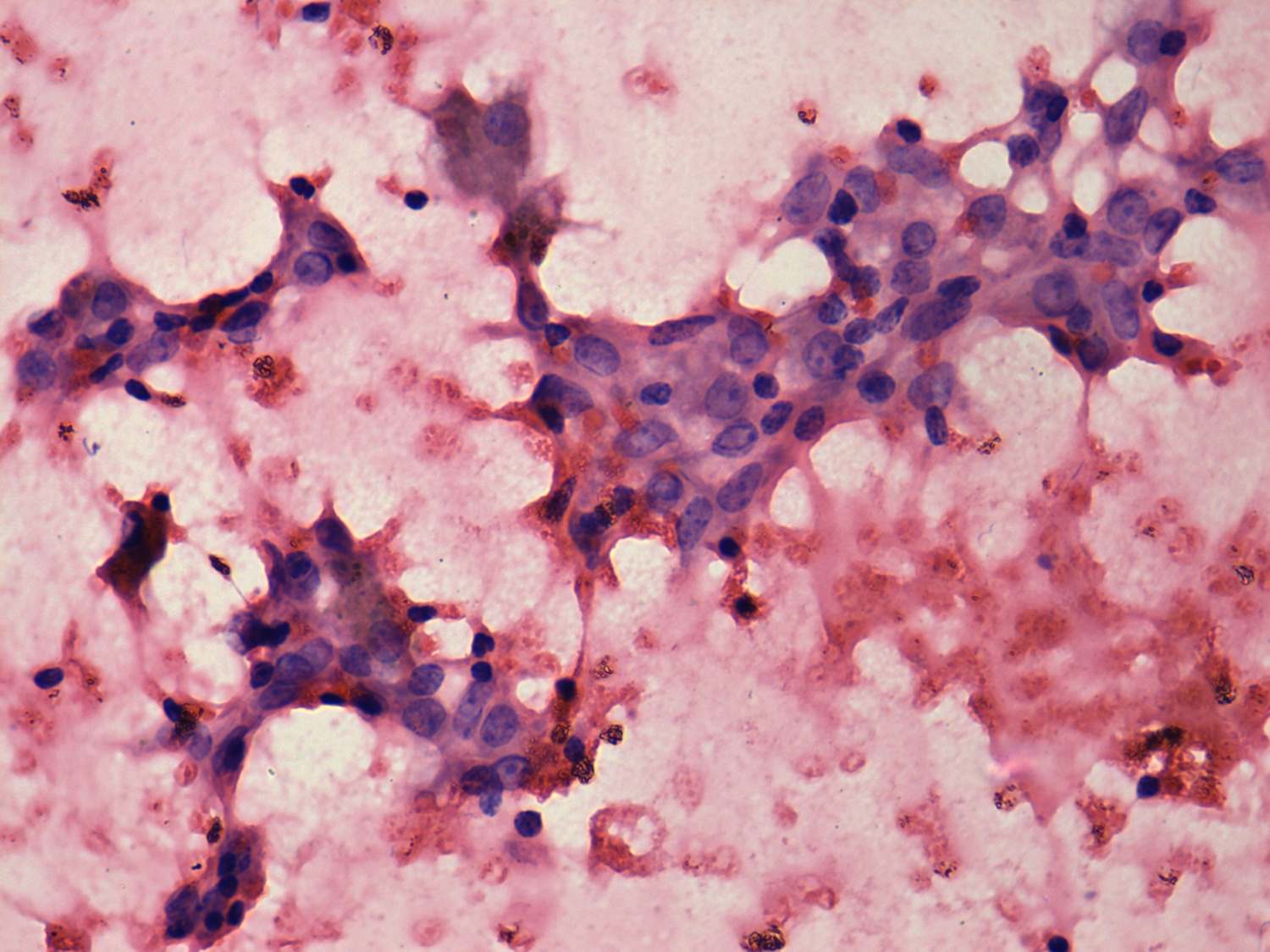
Papillary carcinoma - Case 10. (cytologic picture 5)
doi: 10.24390/thyrocase1792.c05
Pap-smear, 400x.