Papillary carcinoma - Case 10.doi: 10.24390/thyrocase1792.00 |
|
Clinical data: A 48-year-old woman was operated for papillary cancer 17 years earlier. A lobectomy was performed and a T2NO tumor was found. The patient refused completion of therapy. She detected a nodule in the left thyroid 6 weeks before the present examination.
Palpation: a multinodular goiter.
Functional state: euthyroidism (TSH 1.01 mIU/L).
Ultrasonography: The right thyroid was echonormal. There were four nodules in the left lobe, two in the upper, one in the middle and one in the lower part of the lobe. The larger nodule in the upper third was a spongiform-peripheral type mixed nodule. Although it was echonormal, and presented halo sign and signs of perinodular blood flow, the macrolobulation of the solid part was noteworthy.
US-guided FNAC was performed from the solid part of the nodule in the upper part of the left thyroid.
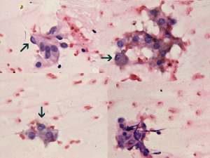
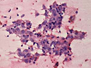
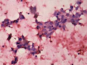
Cytological picture: There was no colloid, but many macrophages in the background. Follicular cells were arranged in non-specific groups. Occasionally nuclear crowding and overlapping could be observed. Because of the degenerative changes, the nuclear details were not unequivocal but we have found intranuclear structures resembling grooves.
Cytological diagnosis. Suspicion of papillary carcinoma.
Histopathology. Encapsulated papillary carcinoma corresponding to the nodule in the upper part of the left lobe. The remaining nodules proved to be benign hyperplastic lesions.













