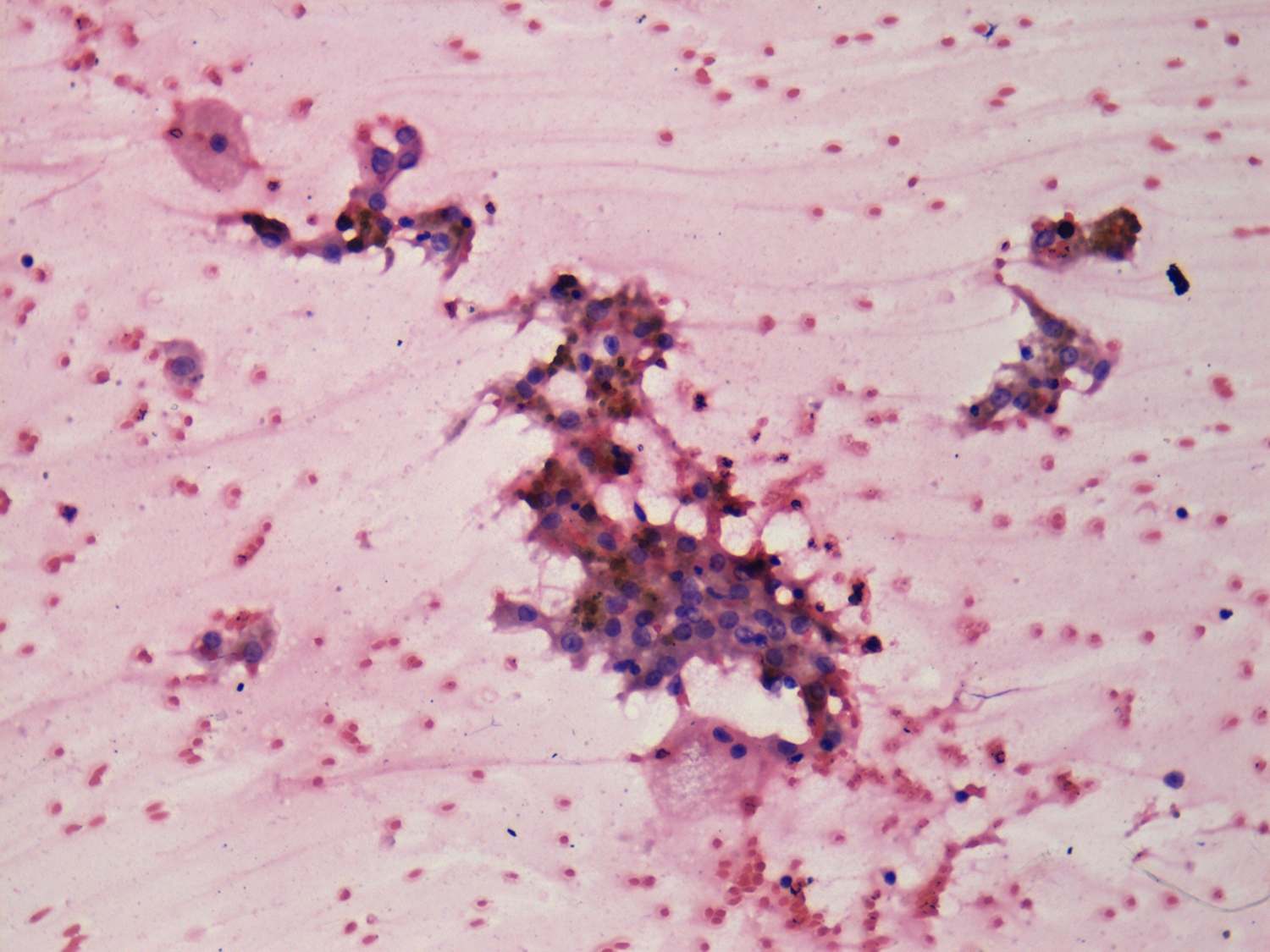
Papillary carcinoma - Case 10. (cytologic picture 2)
doi: 10.24390/thyrocase1792.c02
|
|
|
|
|
Pap-smear, 200x. Follicular cells in this image present no suspicious sign.

