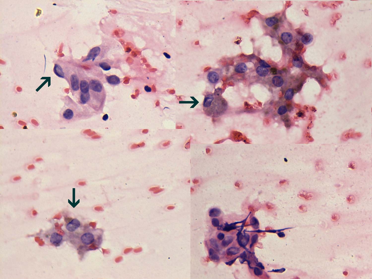
Papillary carcinoma - Case 10. (cytologic picture 3)
doi: 10.24390/thyrocase1792.c03
|
|
|
|
|
Pap-smear, 400x. The follicular cells have pale nuclei. Dark intranuclear lines resembling groove (green arrows).

