Papillary carcinoma - Case 10. (ultrasound picture 3)

doi: 10.24390/thyrocase1792.03


Previous picture Back to Case Next picture

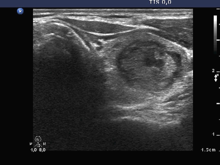
Right lobe, horizontal view

Upper part of the left lobe, another horizontal view. There are bright hyperechogenic foci corresponding to non-specific granulations. Note that the solid part is echonormal.

mask