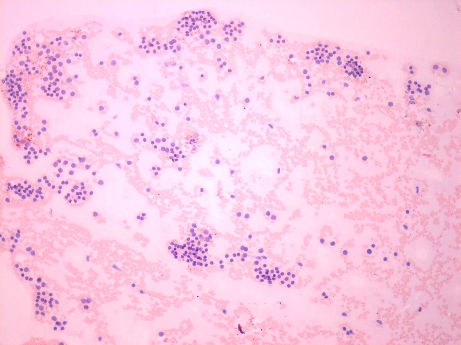
Papillary carcinoma - Case 35.
Five years before present investigation (cytologic picture 1)
|
|
|
|
|
Pap-smear, 100x. There is no colloid in the background. Microfollicles predominate the smear.

