Menu
Case histories
Lectures
Benign nodular hyperplasia
List of cases
Videorecords
Pitfalls
Course book
Course on US
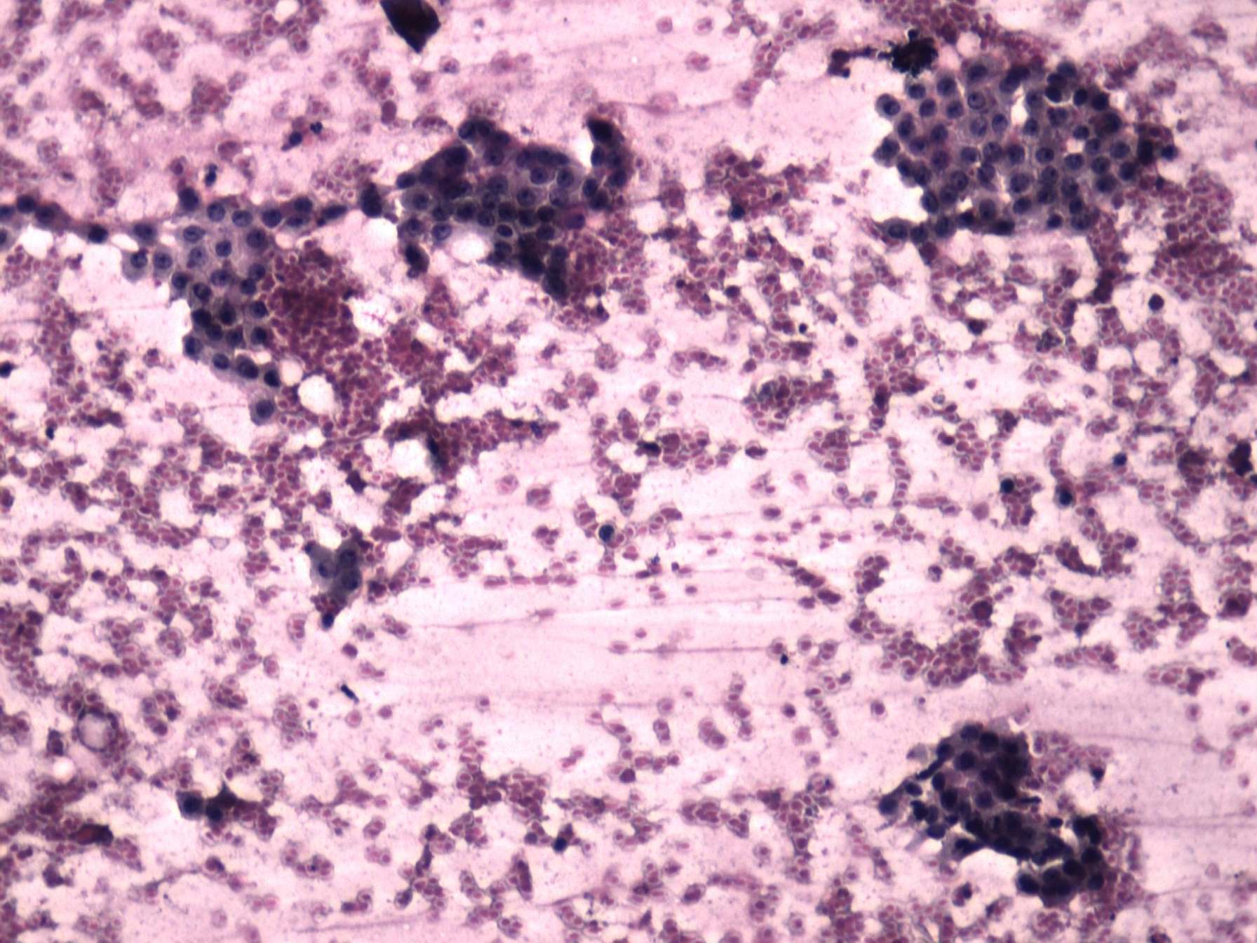
Benign nodular hyperplasia - Case 36. (cytologic picture 2)
Pap-smear, 100x. Compact clusters of thyrocytes with abundant cytoplasm.