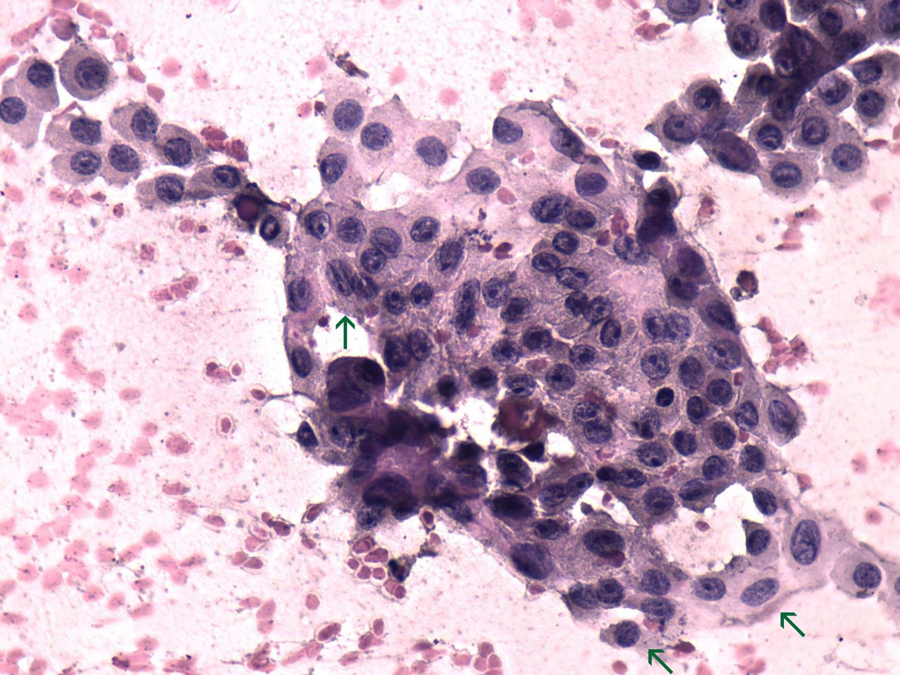
Benign nodular hyperplasia - Case 36. (cytologic picture 5)
|
|
|
|
Pap-smear, 400x. Thyrocytes exhibit prominent nucleoli. Intranuclear groove-like figures are present in several follicular cells (arrows). These are probably artifacts, because it is extremely rare in papillary cancer, that thyrocytes exhibit grooves with such high frequency. Even more important is the fact, that in the event of a papillary cancer grooves or inclusions are not the only signs of carcinoma. It is hard to imagine a papillary cancer without anisonucleosis. In this case the cells were practically of even size.

