Benign nodular hyperplasia - Case 38. (cytologic picture 1)
|
|
|
|
|
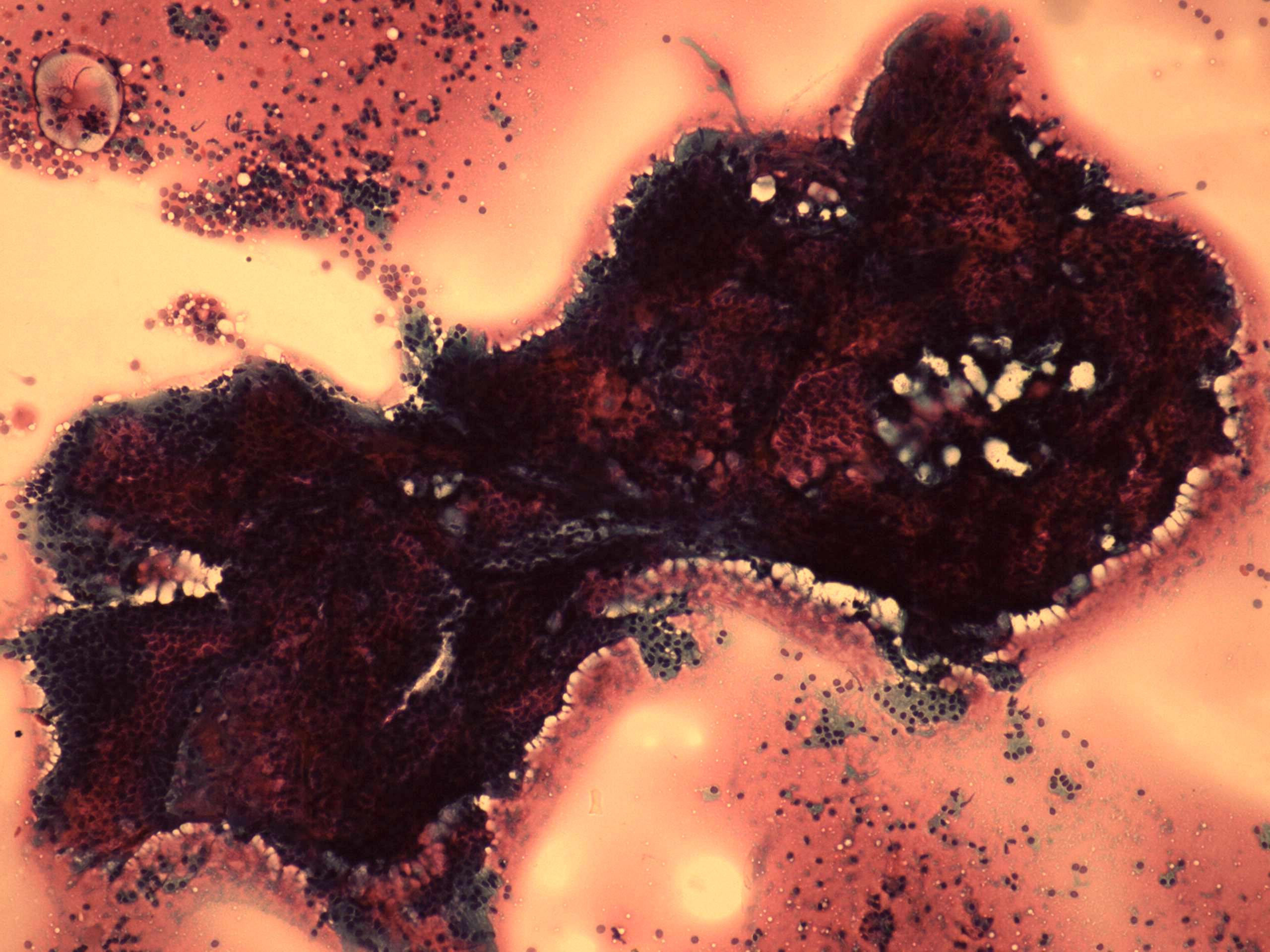
Pap-smear, 100x. There is diffuse colloid precipitate in the background. Follicular cells are found in large hyperplastic papillary structures and dissociated.

