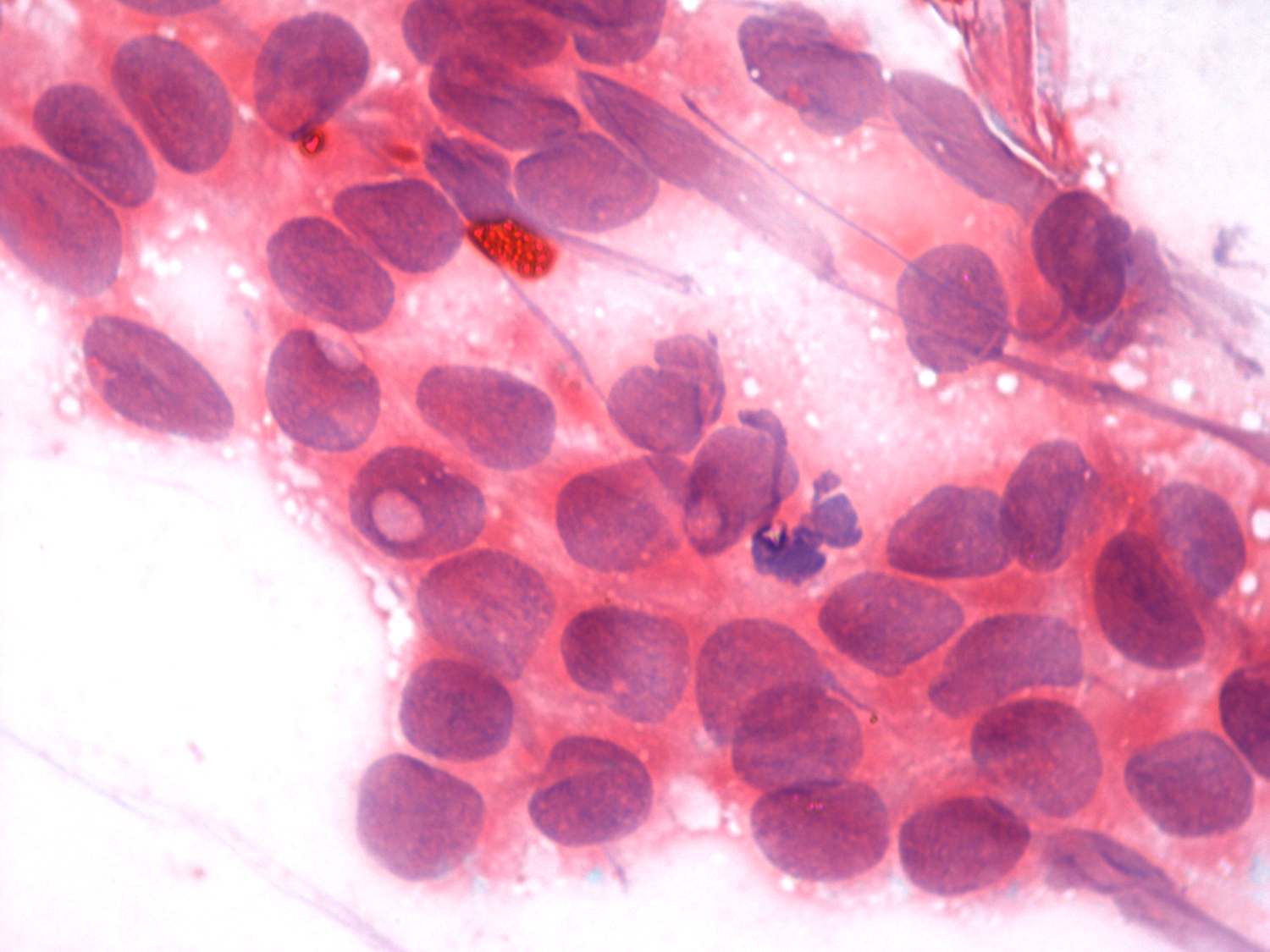
Papillary carcinoma - Case 31. (cytologic picture 6)
| |
|
|
Pap-smear, 1000x. Atypical cell group with nuclear crowding. Follicular cells are elongated, and one of them contains an inclusion. Note nuclear debris.

