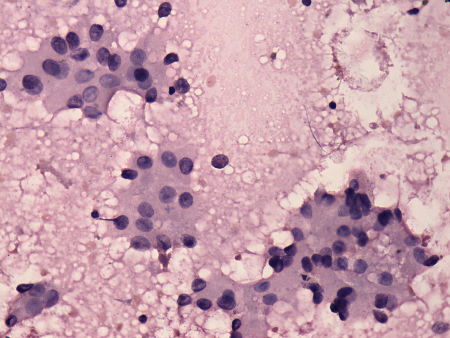
Pap-smear, 400x. Follicular cells display oxyphilic metaplasia. Note the presence of grooves and prominent nucleoli.