Menu
Case histories
Lectures
Benign nodular hyperplasia
List of cases
Videorecords
Pitfalls
Course book
Course on US
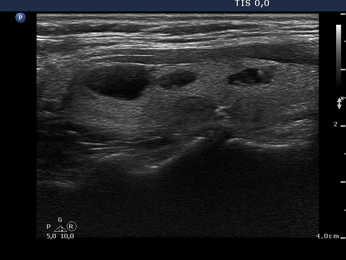
Benign nodular hyperplasia - Case 51. (ultrasonographic picture 2)
Right lobe, longitudinal scan. These are benign-appearing lesions.