Menu
Case histories
Lectures
Benign nodular hyperplasia
List of cases
Videorecords
Pitfalls
Course book
Course on US
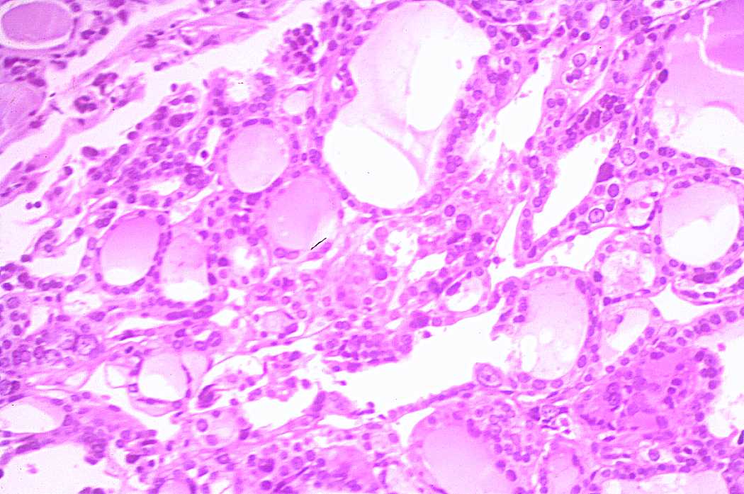
Benign nodular hyperplasia - Case 45. (histological picture 3)
H.E. section, 200x. The nuclei are dark, hyperchromatic.