Benign nodular hyperplasia - Case 45. |
|
Clinical presentation: a 31-year-old woman was referred for an evaluation of a thyroid nodule that had been discovered 3 months before.
Palpation: a very firm nodule in the right lobe.
Functional state: euthyroidism (TSH 2.87 mIU/L).
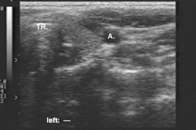
Ultrasonography: a moderately hypoechogenic nodule with cystic degeneration in the right thyroid.
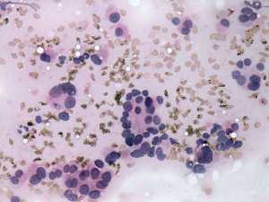
Cytology: a very cellular pattern was found with atypical and pleomorphic follicular cells. They were arranged in micro- and normofollicles.
Cytological diagnosis: suspicion of follicular carcinoma.
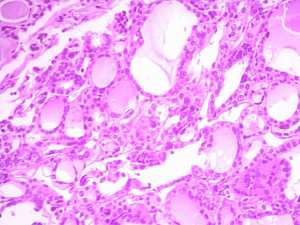
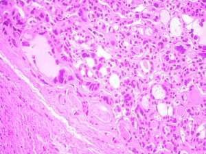
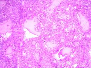
Histopathology: a benign hyperplastic nodule. Dyshormonogenetic goiter.
Comment: for details of dyshormonogenetic goiter click here.
The patient was examined and operated in 1995, therefore the sonographic pictures are out of date.

















