Benign nodular hyperplasia - Case 46. |
|
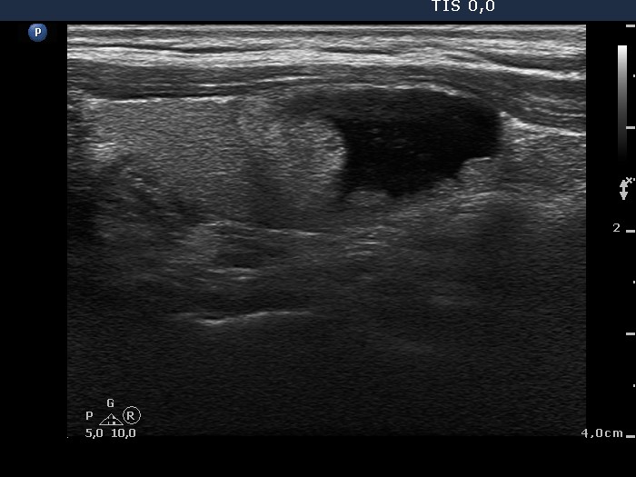
Clinical presentation: A 44-year-old woman was referred for evaluation of a nodule which was discovered on a routine examination. The nodule was held as suspicious because of the shape of the solid part of the cyst. The patient had no complaints.
Palpation: a not firm nodule in the right lobe.
Functional state: euthyroidism (TSH 3.03 mIU/L).
Ultrasonography: There was a solitary, cystic-echonormal nodule in the right lobe.
Cytological diagnosis: benign, colloid goiter.
Comment. Most if not all mixed nodules evolve from a solid nodule. The solid part of a mixed nodule appears as a proliferation in most cases.










