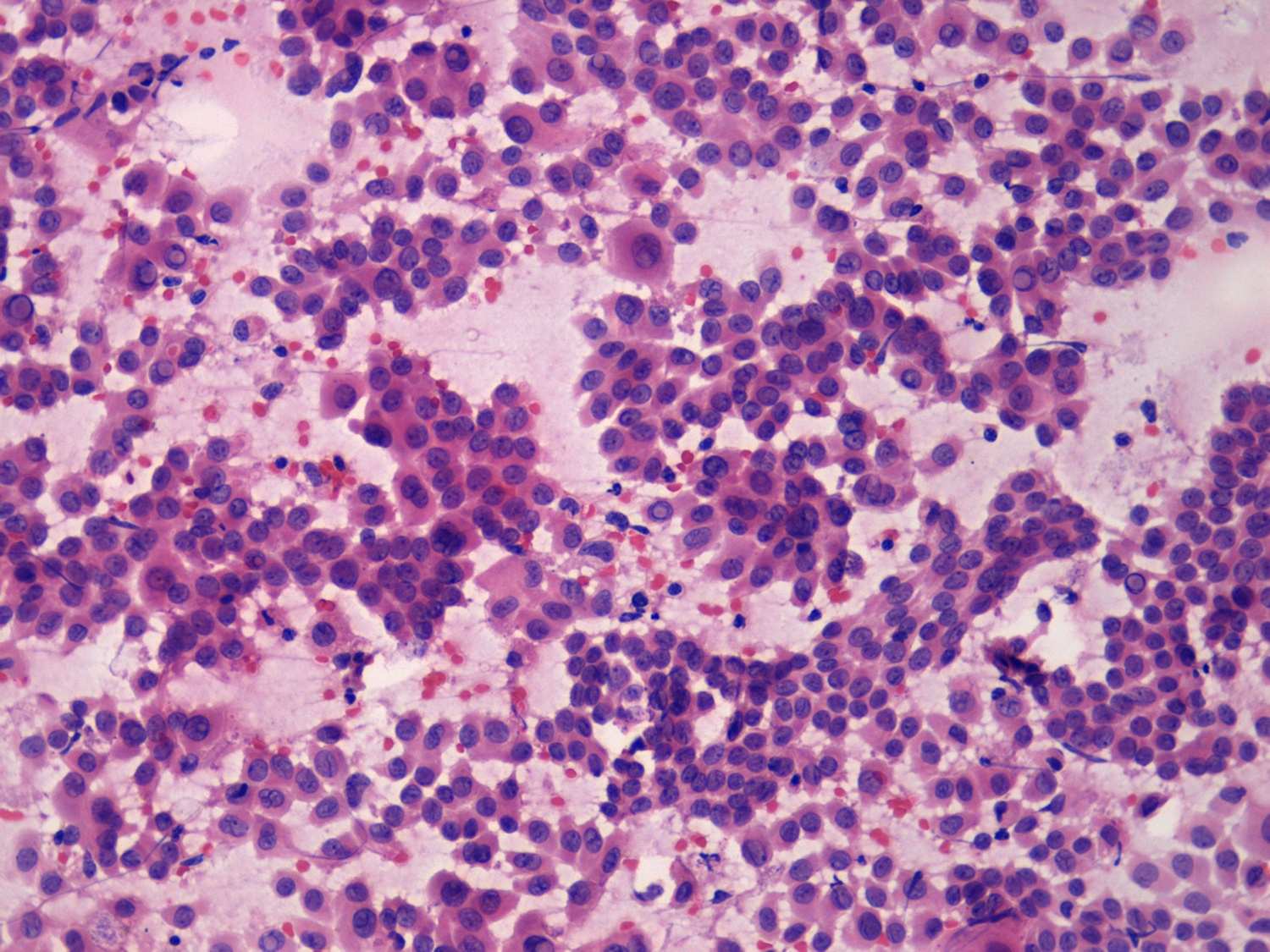
Papillary carcinoma - Case 37. (cytologic picture 2)
|
|
|
|
|
Pap-smear (intraoperative imprint), 200x. Follicular cells with abundant cytoplasm dispersed and forming microfollicles.

