Menu
Case histories
Lectures
Papillary cancer
List of cases
Videorecords
Pitfalls
Course book
Course on US
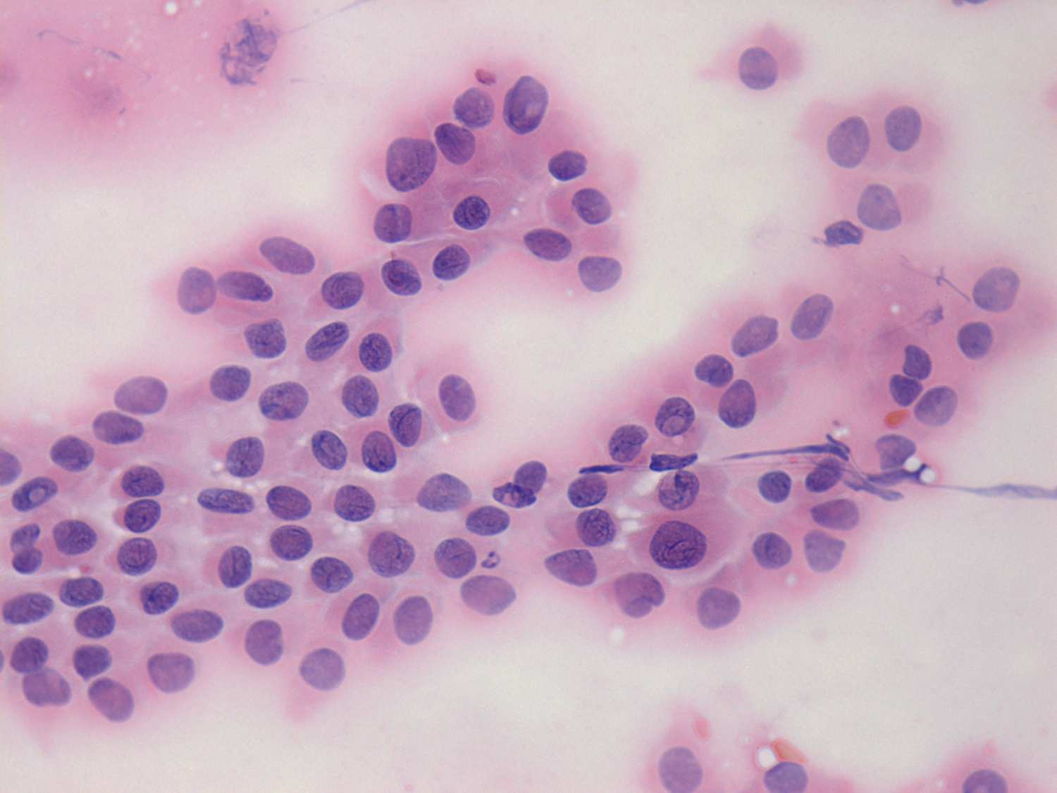
Papillary carcinoma - Case 37. (cytologic picture 3)
Pap-smear (intraoperative imprint), 400x. Follicular cells display oxyphilic metaplasia.