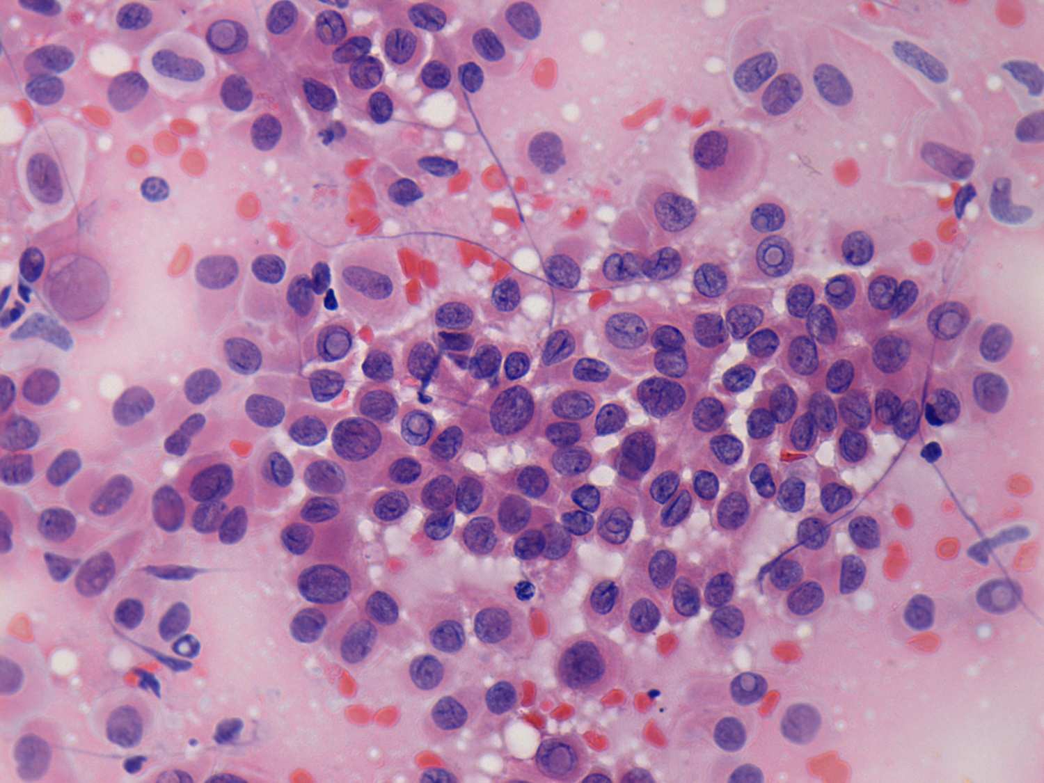
Pap-smear (intraoperative imprint), 400x. Follicular cells dissociated. Many nuclei contain inclusion or groove.