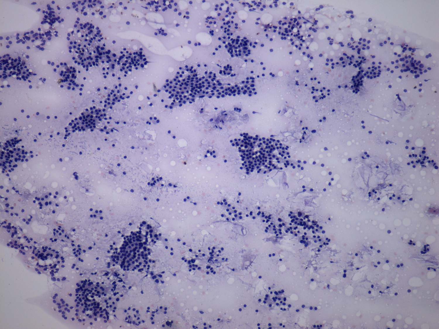
Benign nodular hyperplasia - Case 56. (cytologic picture 1)
|
|
|
|
|
Pap-smear, 100x. There is diffuse colloid in the background. Follicular cells occur in monolayered sheets, in microfollicles and dissociated.

