PAPILLON COURSE on THYROID ULTRASOUND

Section 2 The nodular goiter

Part 9 TIRADS
Lectures

 

Table 1 EU-TIRADS 1 category

This is quite a unique subgroup which are used in the European and Korean TIRADS while the American systems do not have a similar category. The definition is laconic: 'No nodule'. The question is obvious: nodules in what sense? I guess that a fully intact thyroid without any discrete lesions would not be worth a separate group. Therefore, it is likely that the authors here did not think of the nodule in a radiological but in a pathological sense. If so, then the issue is to distinguish between discrete lesion of that are pathologically nodules and those that are not. This is the most challenging part of the thyroid ultrasound because it manly involves the focal form of thyroiditis.
I present here some examples, including easy-to-interpret patterns and also difficult-to-interpret ones.

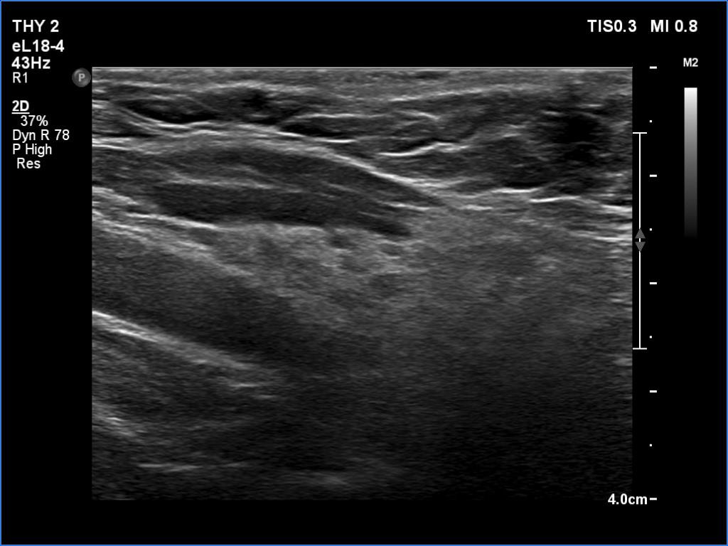
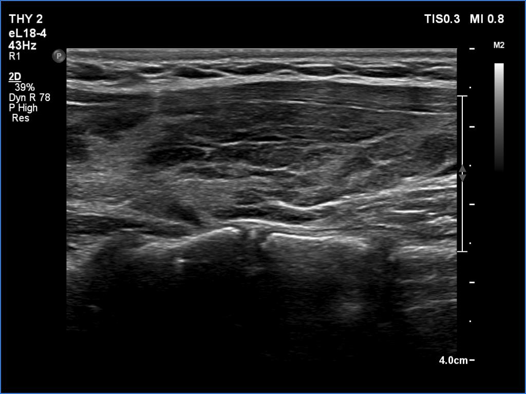
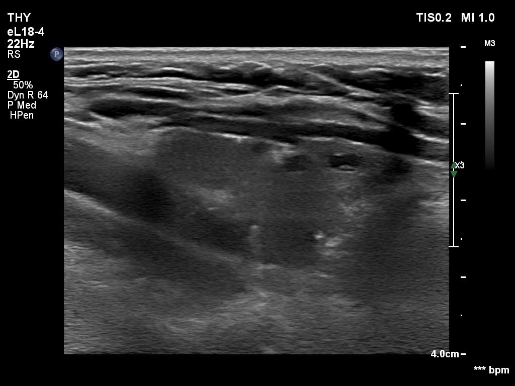
Benign cystic areas (ultrasound diagnosis) - case 294
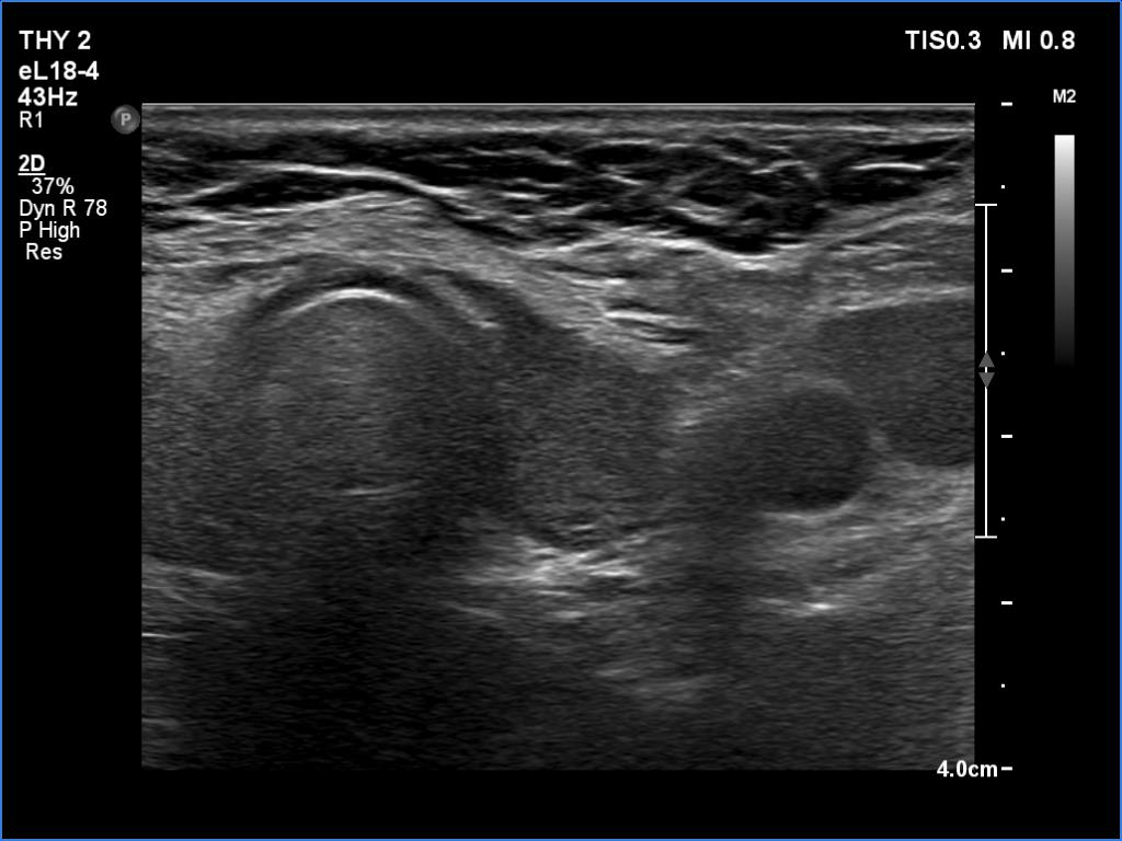
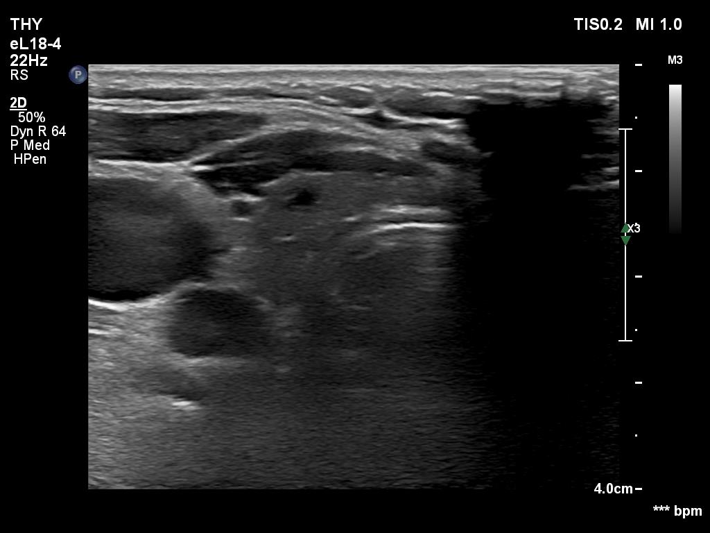
Benign cystic lesions - case cons100 012

Essentially, such tiny cystic lesions are normal findings and correspond to dilated macrofollicles.

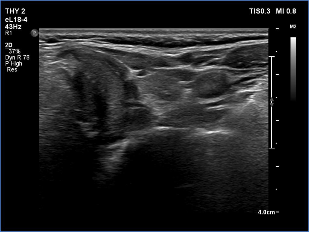
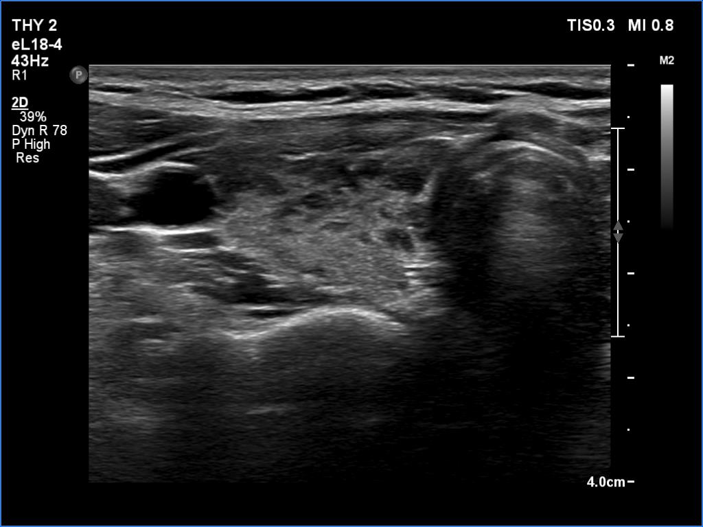
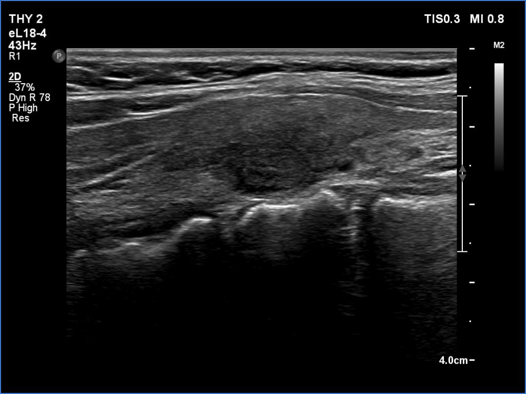
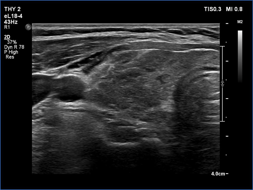
Lymphocytic thyroiditis - case 675

Right lobe
Left lobe

Focal form of lymphocytic thyroiditis is presented. The thyroid has numerous discrete, hypoechoic lesions which correspond to more active foci of thyroiditis. The interpretation of this pattern should not cause concern - these areas are not pathological nodules.

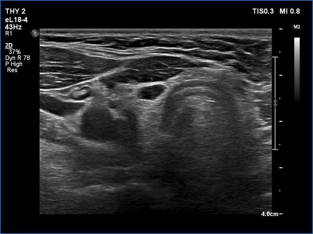
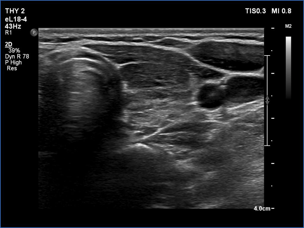
Lymphocytic thyroiditis - case 751

Right lobe
Left lobe

Focal form of lymphocytic thyroiditis is presented. The thyroid has numerous discrete, hypoechoic lesions which correspond to more active foci of thyroiditis. The interpretation of this pattern should not cause concern - these areas are not pathological nodules. The discrete lesions have non-regular, partly clearly lobulated or spiculated margins.

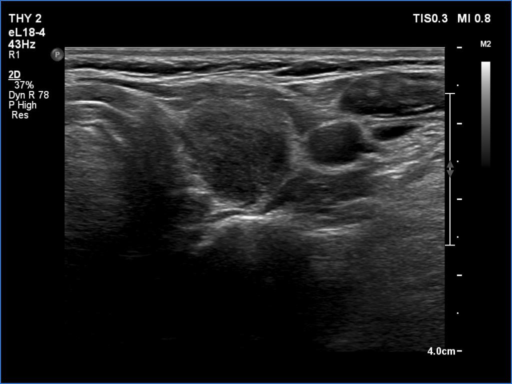
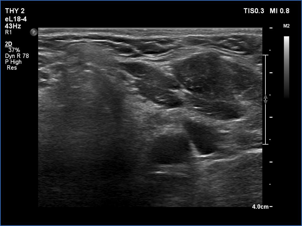
Lymphocytic thyroiditis - case 1441

Right lobe
Left lobe

Focal form of lymphocytic thyroiditis is presented. The thyroid has numerous discrete, hypoechoic lesions which correspond to more active foci of thyroiditis. The interpretation of the relatively large ventral hypoechoic area in the left lobe (right upper image can cause problem), however, longitudinal scan decides the issue: this field cannot be a pathological nodule.

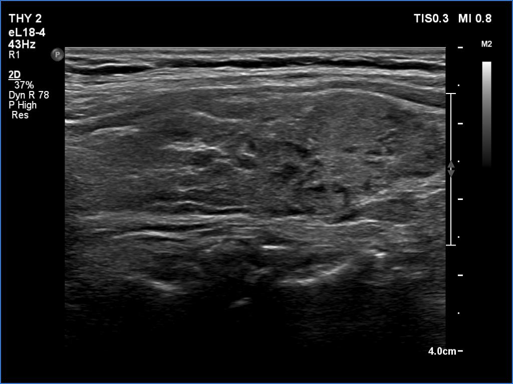
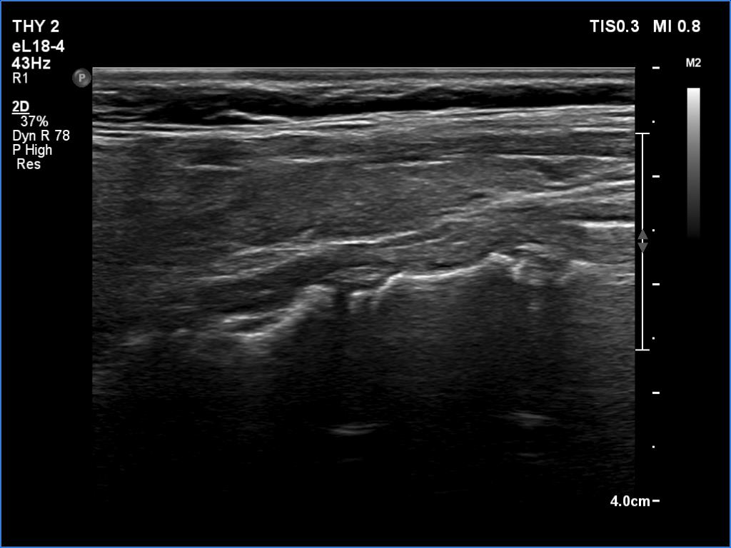
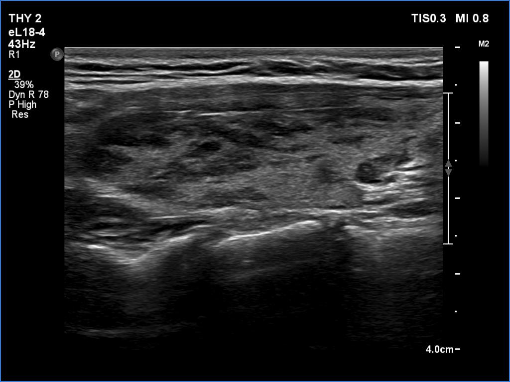
Lymphocytic thyroiditis - case 897

Examination one
Six month later

Focal form of lymphocytic thyroiditis is presented. At the first examination, beside smaller hypoechoic areas, the left lobe had a larger discrete lesion. It was doubtful whether this should be regarded as pathological nodule or not. In the first case, the lesion is an EU-TIRADS 5 nodule due to the irregular margins while in the latter, this is an EU-TIRADS 1 lesion. Six months later, the lesion had virtually disappeared which means that this was not a true nodule.

   
A patient operated on Graves' disease then received radioiodine therapy - case 321
After the surgery before the radioiodine treatment
After the radioiodine treatment

The patient had a recurrent hyperthyroidism 15 years after a bilateral subtotal resection performed because of relapsing Graves disease. Several months after the first visit, the patient underwent on radioiodine treatment. The right images were recorded 5 years after the isotope therapy.
In surgically treated thyroids, the histopathological findings must be taken ito account in order to avoid mispretating discrete lesions. If the previous histopathology did not find nodule than an ambiguous lesion is very rarely a true nodule.
The echonormal areas which surround the hypoechoic lesion can be tracked up, down and sideways, therefore these do not correspond to thyroid tissue but to connective tissue.

   
   
   
   
   
   
   
   
   

 

   
mask