Intranodular hyperechogenic figures - case 777 |
|
Clinical presentation: A 55-year-old woman presented with a rapidly increasing mass in the right thyroid lobe. She had difficulties in swallowing. The tumor evolved over 3 months.
Palpation: A very hard nodule was palpable in the right lobe.
Functional state: euthyroidism with TSH 2.80 mIU/L.
Ultrasonography. There was a hypoechogenic nodule occupying the right lobe. The nodule contained amorphous hyperechogenic patches corresponding to amyloid deposits.
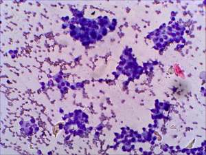
Cytological diagnosis: medullary carcinoma with great probability.
Serum calcitonin level was 107 pg/mL (normal value: 2-10).
Histopathology: medullary cancer.










