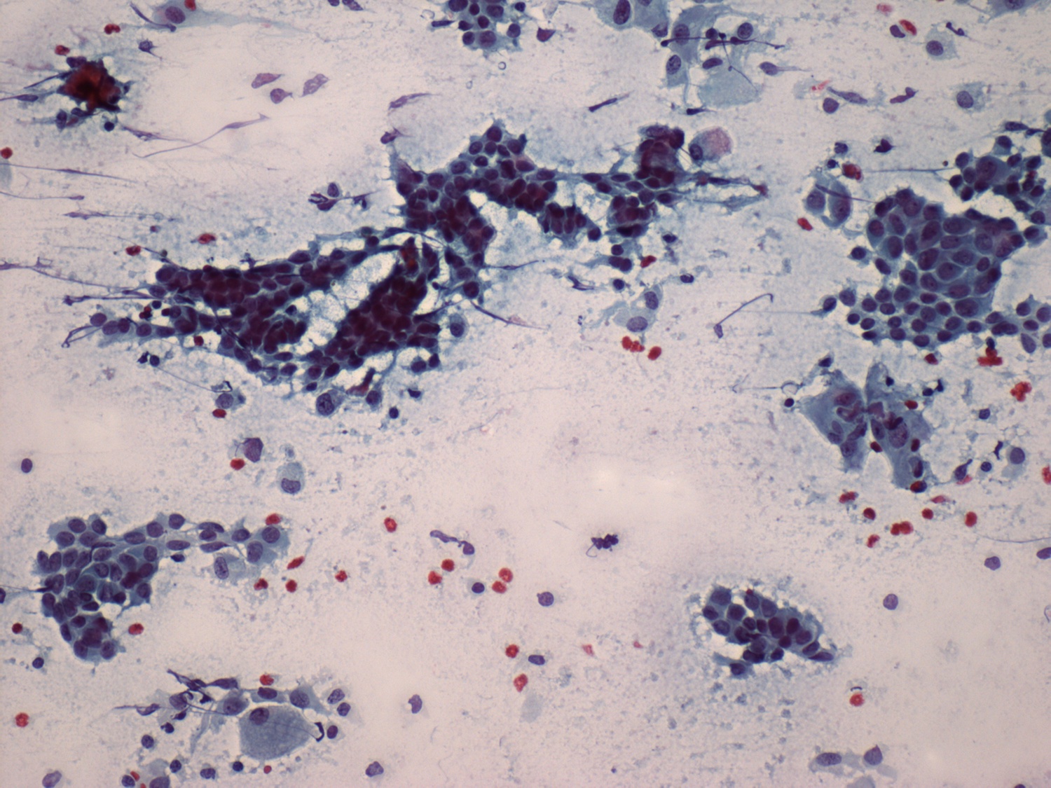
Pap-smear, 200x. Thyrocytes have well-defined borders. Note nuclear debris and the presence of lymphocytes.