Papillary carcinoma - Case 32. |
|
Clinical presentation: a 37-year-old woman came to s regular follow-up examination. A nodule was diagnosed in the right thyroid three years earlier. Cytology resulted in benign lesion. She had no complaints.
Palpation: a firm nodule in the medial part of the left lobe.
Functional state: euthyroidism (TSH-level 1.19 mIU/L).
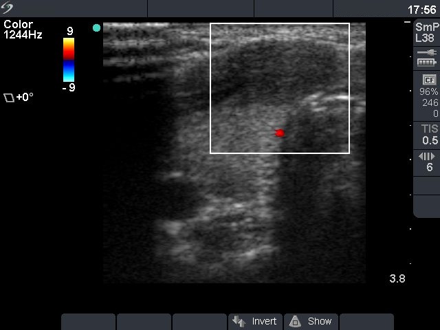
Ultrasonography: there was a hypoechogenic nodule in the ventromedial part of the left lobe. The nodule had increased in size from 8x5x9 mm to 16x14x19 mm over three years.
Cytological diagnosis: papillary carcinoma.
Histopathology: a papillary carcinoma.
We have reviewed the original smears. The review of the smear indicated an error of gaining material because the original cytological diagnosis was correct.








