Papillary carcinoma - Case 33. |
|
Clinical presentation: a 35-year-old man was referred for an evaluation. He noticed a nodule for several weeks.
Palpation : a firm nodule in the medial part of the left lobe.
Functional state: euthyroidism (TSH-level 1.43 mIU/L, FT4 17.9 pM/L).
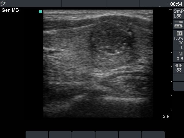
Ultrasonography: there was a hypoechogenic nodule in the ventromedial part of the left lobe. The nodule contained microcalcifications and presented intranodular blood flow.
Cytological diagnosis: papillary cancer.
The patient had great anxiety for surgery and therefore he did not get operated in the next 16 months, then he visited us again. (The nodule did not changed in size, see video). We suggested psychotherapy and 6 months later he underwent surgery.
Histopathology: a papillary cancer.










