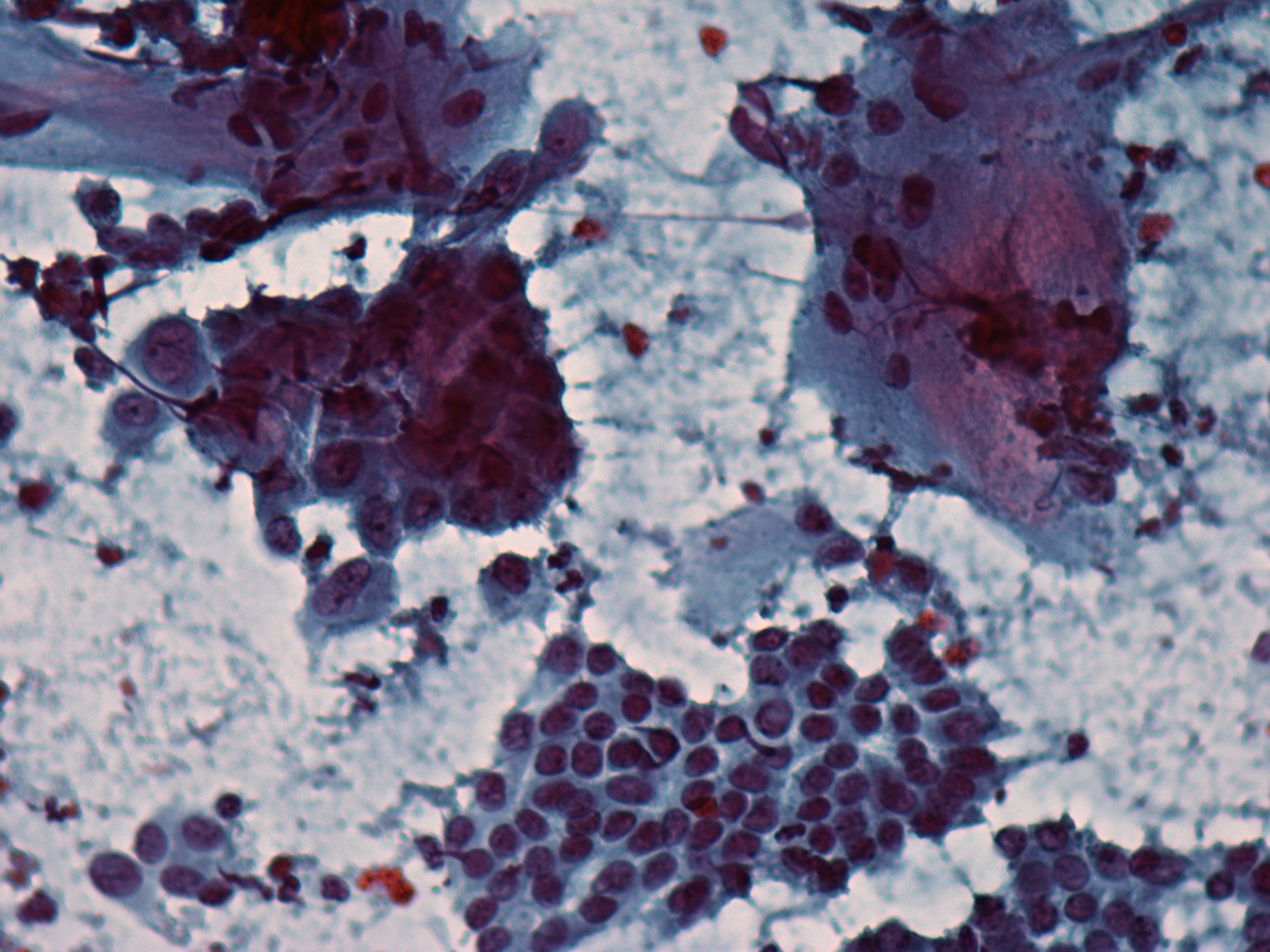
Papillary carcinoma - Case 32. (cytologic picture 4)
|
|
|
|
|
Pap-smear, 400x. There are different cell populations in the image. The lower monolayered sheet is composed of regular follicular cells, while upper and left to this cluster there is a group composed of enlarged thyrocytes with irregular chromatin structure. Note the presence of two multinucleated cells in the upper part of the image.

