Menu
Case histories
Lectures
Benign nodular hyperplasia
List of cases
Videorecords
Pitfalls
Course book
Course on US
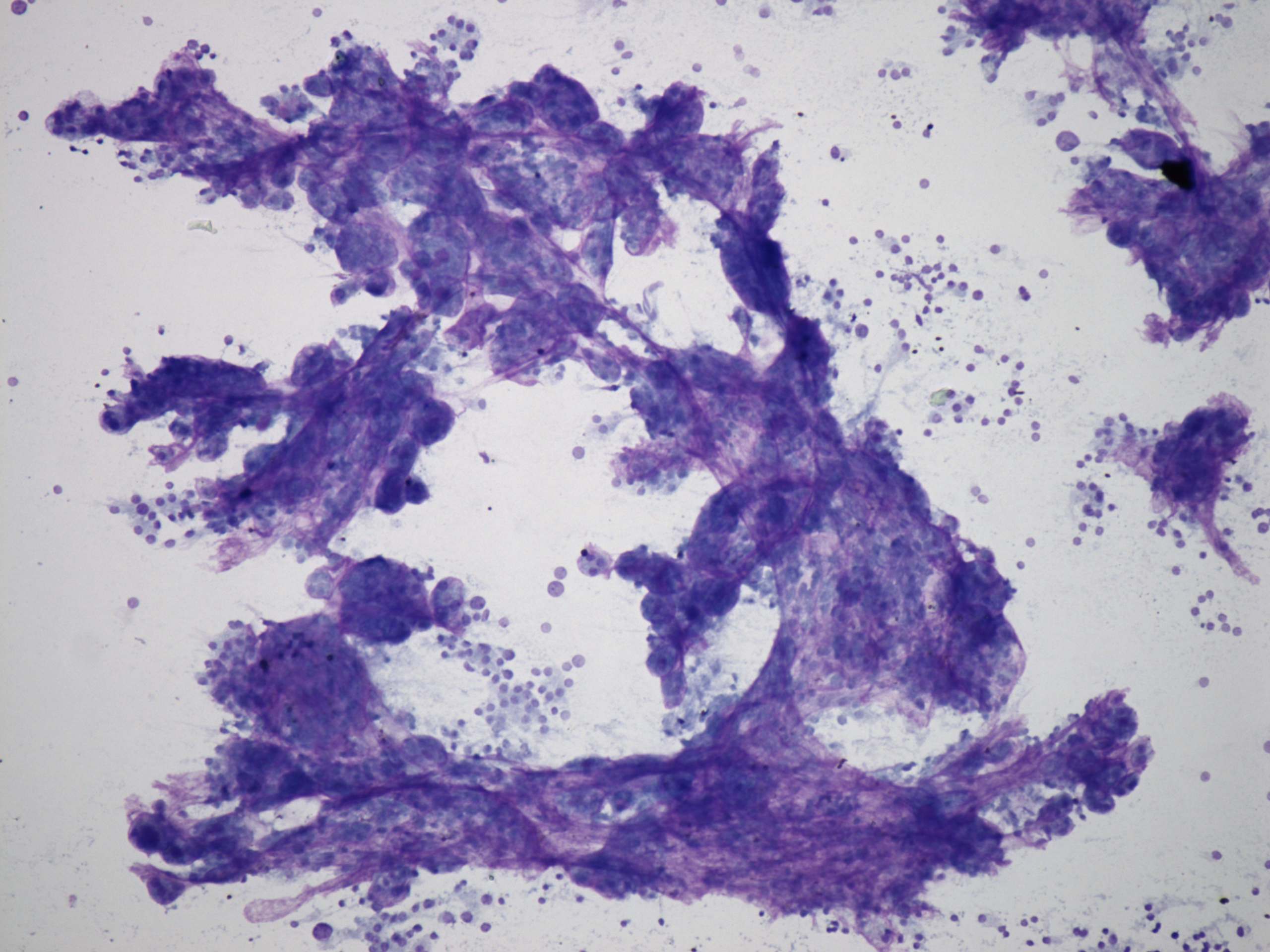
Benign nodular hyperplasia - Case 59. (cytologic picture 1)
Wright-Giemsa staining, 100x. There are large papillary clusters on the smear.