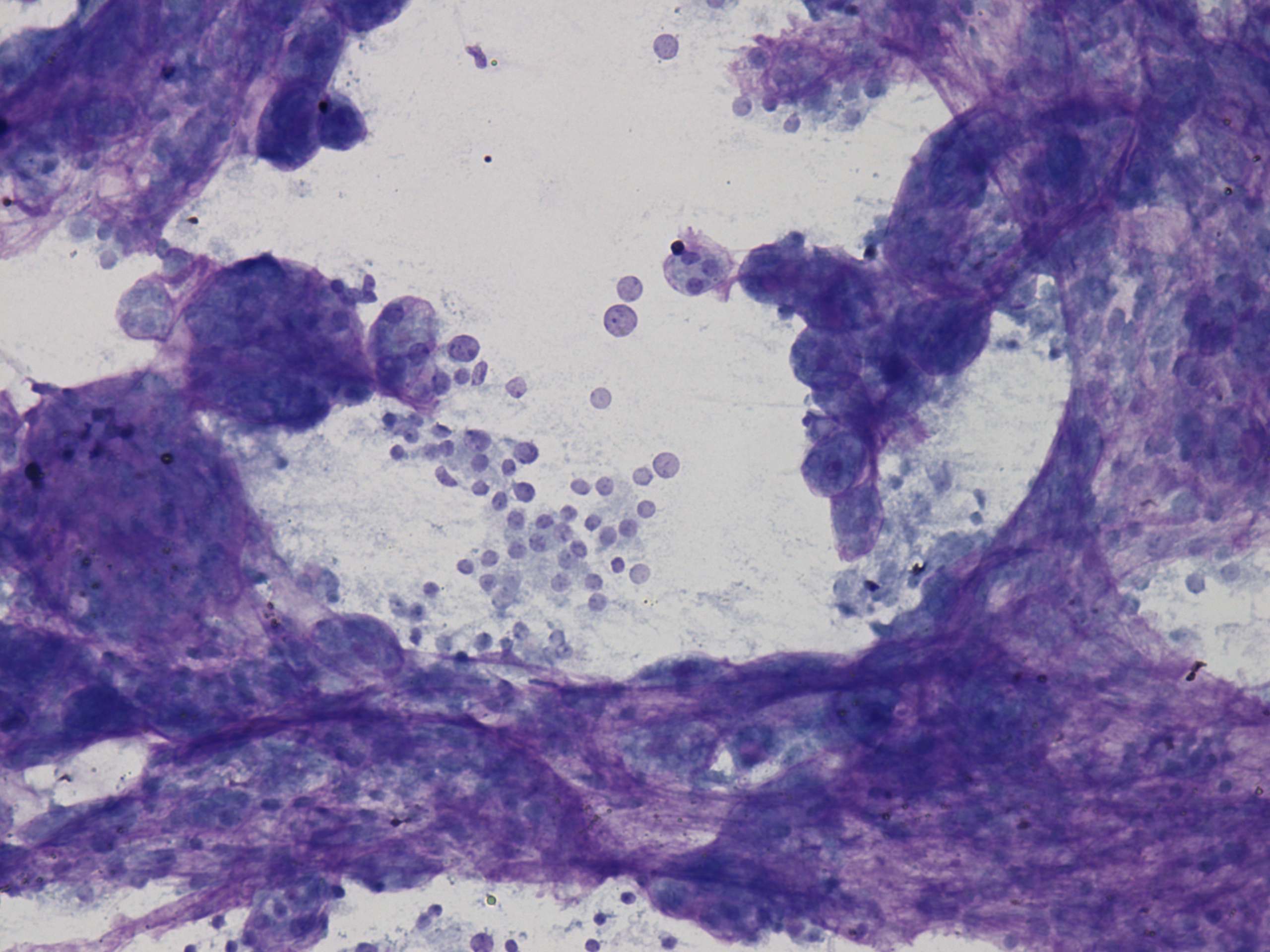
Benign nodular hyperplasia - Case 59. (cytologic picture 2)
|
|
|
|
|
Wright-Giemsa staining, 200x. The papillary cell groups are composed of cell balls characteristic of hyperplastic nodules.

